마이노트

단축키 정보를 확인하세요!

[기종평23]

0

여기에 표시한 문제들은 마이노트에서 모아볼 수 있어요!

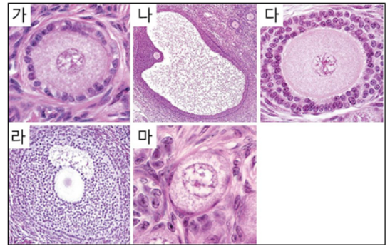
다음은 난포의 현미경사진이다. 태아기 3개월째 관찰되며 생식샘자극호르몬(gonadotropin)의 자극과는 무관하게 발달하는 난포는?

정답률 46%

누적 풀이 횟수 600+

평균 풀이 시간16초

/

나의 풀이 시간0

해설

• 해당 사진의 난포(ovarian follicle)의 발달 단계를 보여준다. 순서대로 사진을 재배치하면 다음과 같다:

• 마: primordial follicle

• 가: unilaminar primary follicle

• 다: multilaminar primary follicle

• 라: secondary follicle

• 나: mature follicle

• 태아에서 생성된 primary oocyte는 편평상피처럼 납작한 follicular cell이 한층으로 둘러싸고 있는 primordial follicle(원시난포)의 형태로 존재한다. 태아기 3개월째 관찰되며 생식샘자극호르몬의 자극 여부와는 무관하게 신생아가 가지고 태어난다.

Histology: A Text and Atlas, Wolters Kluwer, 7th edition, pg 837

• 이후 사춘기에 접어들며 뇌하수체 전엽에서 난포자극호르몬(follicle stimulating hormone, FSH)이 분비되어 follicle의 증식을 유도한다.

• Oocyte를 한 층으로 둘러싸는 unilaminar primary follicle을 거쳐 여러 층으로 감싸는 multilaminar primary follicle로 성장한다. 이때 follicular cell들이 통통한 모양으로 여러 층을 형성하게 되면 granulosa cell이라 칭해진다.

• Primary oocyte 또한 FSH의 영향을 받아 핵이 커지며 zona protein을 분비해 zona pellucida를 형성한다. 난소 기질의 fibroblast 또한 theca interna와 theca externa로 분화하고 follicle의 외곽을 감싼다.

• Theca interna는 이후 steroid producing cell로 분화해 androstenedione을 생성하고 이는 granulosa cell에 의해 estrogen으로 전환된다. 따라서 난포가 성장함에 따라 estrogen 농도가 증가한다.

Histology: A Text and Atlas, Wolters Kluwer, 7th edition, pg 838

• 이후 granulosa cell 층에 antrum(난포동)이라는 공간이 생기는데, 처음에는 작은 antrum들이 여럿 형성되면서 하나의 큰 구조로 합쳐진다. Antrum에는 hyaluronate, growth factor, plasminogen, steroid hormone 등이 존재한다.

Histology: A Text and Atlas, Wolters Kluwer, 7th edition, pg 839

• Antrum이 하나로 합쳐지며 oocyte이 난포벽 한쪽으로 치우쳐지는데, 이때 cumulus oophorus라는 난세포 더미가 oocyte를 벽에 고정시켜준다. 또한, corona radiata(방사관 세포)들이 oocyte의 가장자리에 밀접하게 붙어 있으며 배란 시 같이 배란된다. 이렇게 배란 직전의 성숙 난포가 형성된다.

Histology: A Text and Atlas, Wolters Kluwer, 7th edition, pg 840

Reference

• Histology: A Text and Atlas, Wolters Kluwer, 7th edition