마이노트

단축키 정보를 확인하세요!

[기종평23]

0

여기에 표시한 문제들은 마이노트에서 모아볼 수 있어요!

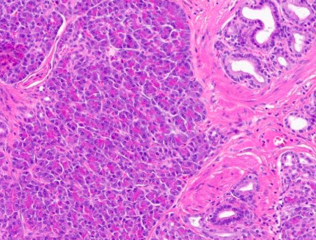
41세 여자가 정기검진 목적으로 위내시경을 시행받았다. 점막하종양이 의심되어 내시경적 절제술을 시행하였다. 조직검사 소견은 사진과 같다. 다음 중 해당하는 것은?

정답률 53%

누적 풀이 횟수 700+

평균 풀이 시간17초

/

나의 풀이 시간0

이용권 구매 후 정답률, 누적 풀이 횟수, 평균 풀이시간과 나의 풀이 시간을 확인해보세요.

해설

• 해당 조직사진의 우측에는 정상 위샘조직이, 좌측에는 pancreatic acinar cell들이 발견된다. Pancreatic acinar cell은 RNA content로 인해 basophilic한 가장자리와 zymogen granule (digestive enzyme)으로 인해 eosinophilic한 apex로 구분된다.

• 답은 3번 이소종(choristoma)이다.

• 이소종은 신체 내 비정상적인 위치에 존재하는 조직을 의미한다. 이때 발생한 조직은 조직학적 소견으로는 정상이며 덩이 내 배열 또한 질서적이다. 양성 종양과 유사하지만 종양보다는 congenital anomaly로 간주된다.

• 해당 소견을 과오종으로 생각할 수 있겠지만 위샘조직과 췌장 세포의 경계가 명확하며 췌장 세포의 조직학적 배열이 정상이기에 이소종으로 분류된다.

오답 풀이

• 기형종(teratoma) : 혼합종의 일종으로, 특정 장기의 발생 과정과 무관한 germ cell layer에서 유래한 조직이 발견되는 것이다. (예: 여성 난소에서 머리카락, 치아 등). 악성/양성 여부는 기형종의 분화도 정도에 따라 분류된다.

• 과오종(hamartoma)은 : 해당 장기에서 정상적으로 발견될 수 있는 조직들이 무질서하게 배열된 종양성 병변을 의미한다. 이들 조직은 well-differentiated이기에 일반적으로 양성 병변으로 간주된다. 예를 들어, 폐의 연골성 과오종(pulmonary chondroid hamartoma)은 폐 실질 내에서 연골, 기관지, 혈관 등 정상 폐 구성 성분들이 뒤섞여 무질서하게 존재하지만, 각각의 조직학적 구조는 정상적인 형태를 유지한다.

• 혼합종(mixed tumor) : 다양한 종양 세포 유형이나 조직 유형이 한 종양 내에서 발견되는 것을 의미한다. 해당 문제에 대한 답이 될 수 있으나, 더욱 정확한 소분류가 있기에 배제한다.

• 과증식성 용종(hyperplastic polyp) : 위의 hyperplastic polyp은 위에서 발생하는 가장 흔한 polyp(75 – 90%)으로, 염증 후 재생하는 과정에서의 과도한 증식으로 인해 만들어진다. Mucosa에서 일어나는 non-neoplastic한 polyp이다.

Hyperplastic polyp, Wikipedia commons (Creative Commons License)

Reference

• Robbins and Cotran, Pathologic Basis of Disease, 10e

커뮤니티 Q&A

문제와 관련된 게시글이에요.

이해가 안 되거나 궁금한 점이 있다면 커뮤니티에 질문해 보세요!

로그인