마이노트

단축키 정보를 확인하세요!

[기종평23]

0

여기에 표시한 문제들은 마이노트에서 모아볼 수 있어요!

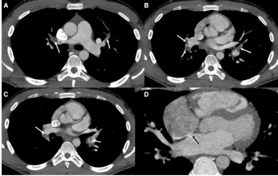
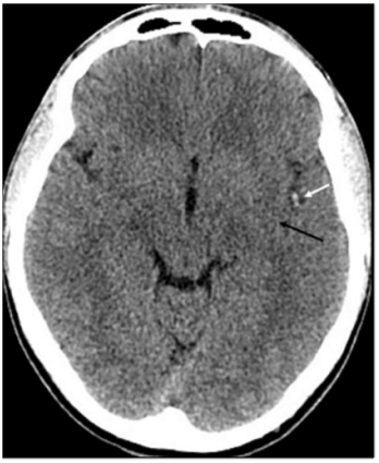
22세 남자가 호흡곤란으로 입원하였다. 환자는 3년 전 항인지질항체증후군(antiphospholipid syndrome)을 진단 받았다. 한 달 전 고속버스를 타고 장시간 여행한 후부터 오른쪽 장딴지에 통증이 있었으며, 10일 전부터 시작된 호흡곤란이 내원 하루 전부터 급격히 악화되었다. 흉부 컴퓨터단층촬영(Computed tomography, CT)에서 양측 폐동맥 색전증(사진 A의 A, B, C, 흰색 화살표)과 심장의 심방중격결손(atrial septal defect)이 발견되었다(사진 A의 D, 검은색 화살표). 입원 4일째 갑자기 발생한 오른쪽 상지와 하지의 근력 약화로 시행한 뇌 CT 에서 왼쪽 중대뇌동맥 주변에서 뇌경색 소견이 관찰되었다(사진 B의 흰색 화살표). 이 환자에게서 뇌경색이 발생한 이유를 가장 잘 설명한 용어는?

(사진 A)

(사진 B)

정답률 60%

누적 풀이 횟수 600+

평균 풀이 시간24초

/

나의 풀이 시간0

해설

• Antiphospholipid syndrome(APS)은 cardiolipin 또는 β2-glycoprotein I에 대한 항인지질항체가 생성되어 혈전을 유발하는 자가면역 질환이다. 이로 인해 반복적인 정맥 및 동맥 혈전, 반복 유산, 심장 판막 이상 등의 다양한 임상 증상이 나타날 수 있다.

• 해당 환자는 처음에 deep vein thrombosis이 발생하였고, 이후 혈전이 폐로 이동하여 pulmonary embolism을 유발하였다. 이는 APS에서 흔히 관찰되는 정맥 혈전 합병증이다.

• 그러나 입원 4일째 환자에게 급성 뇌경색이 발생하였고, 영상검사상 뇌동맥 내 혈전이 확인되었다. APS에서는 드물지 않게 동맥 혈전도 발생할 수 있으나, 이 증례에서는 중요한 단서로 atrial septal defect이 언급된다. ASD가 있는 경우,우심방에서 좌심방으로의 shunting이 생기며, 정맥에서 발생한 혈전이 폐순환을 거치지 않고 systemic circulation로 직접 진입할 수 있다.

• 이러한 기전을 통해 venous embolus이 뇌동맥으로 유입되어 뇌경색을 유발한 상황을 paradoxical embolism이라고 한다. 따라서 이 환자의 진단은 paradoxical embolism이 가장 적절하다.

Reference

• Robbins and Cotran, Pathologic Basis of Disease, 10e