마이노트

단축키 정보를 확인하세요!

[기종평23]

0

여기에 표시한 문제들은 마이노트에서 모아볼 수 있어요!

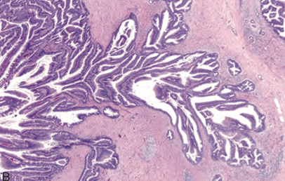
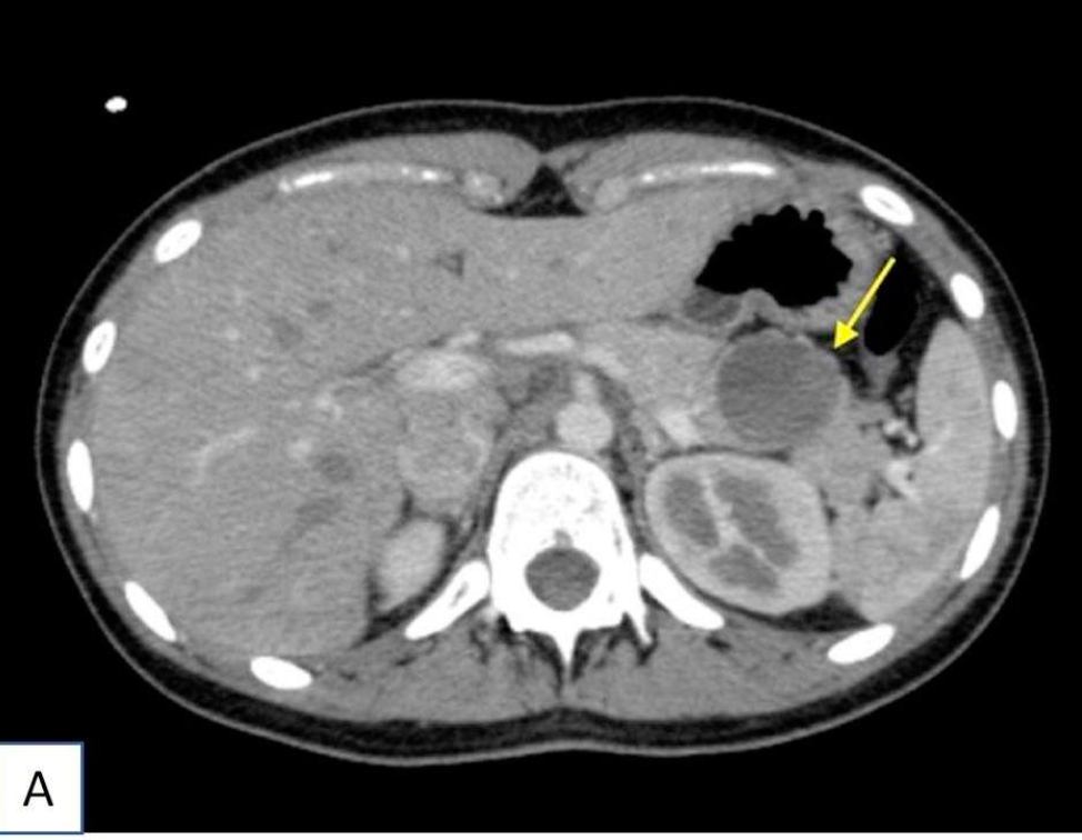
31세 여자가 등과 옆구리의 간헐적 통증으로 병원에 왔다. 복부 전산화 단층촬영(사진 A)에서 췌장 미부에 비교적 경계가 좋은 장경 3 cm 크기의 낭성 종양이 발견되어 절제술을 시행하였다. 사진(사진 B)은 이 종양의 조직학적 소견 및 β-catenin에 대한 면역조직화학 염색 결과이며, β-catenin 유전자 (CTNNB1)의 돌연변이가 관찰되었다. 진단은?

정답률 51%

누적 풀이 횟수 600+

평균 풀이 시간23초

/

나의 풀이 시간0

해설

[Solid pseudopapillary neoplasm]

• Solid pseudopapillary neoplasm은 췌장의 비교적 희귀한 질환으로, 대부분의 환자가 젊은 여성이다.

• 종양 내부에는 solid과 cystic한 부분이 함께 존재하며, cystic한 부분은 hemorrhagic debris로 가득 차 있다. 조직학적으로는 겹들을 형성하는 pseudopapillary한 구조들이 관찰되며, 잘 분리되지 않은 특징을 가진다.

• CTNNB1 (B-catenin) mutation이 거의 모든 환자에서 발견되며, KRAS, RNF43, GNAS, VHL처럼 다른 pancreatic cystic neoplasm에서 흔히 있는 돌연변이는 발견되지 않는다.

오답 풀이

• Pseudocyst는 pancreatic enzyme (ex. lipase)이 풍부하게 포함된 괴사성, 출혈성 물질이 응집하며 형성된다.
• 주로 급성 췌장염의 부작용으로, 환자의 10-20%에서 1-4주 뒤에 발생한다. Epithelial lining 대신 fibrosis과 granulation tissue로 둘러싸여 있는 것이 조직학적 특징이다. 복부 CT에서는 얇은 벽으로 둘러싸인 저음영의 커다란 낭종이 관찰된다. 심한 통증이 동반되거나 파열, 농양, 감염, 출혈 등의 합병증이 생길 시 배액술을 시행하고 그렇지 않은 경우는 대증치료를 하며 경과 관찰한다.

Large pancreatic cyst, Wikipedia Commons (Creative Commons License)

• Serous cystic neoplasm는 주로 췌장의 꼬리에서 장액성분을 함유하는 작은 (1-3mm) 낭종이 solitary 또는 multiple하게 생기는 질병이다. 보통 외과적 치료로 해결되며 악성으로 진행하는 경우는 매우 드물다. VHL tumor suppressor gene의 loss of function과 높은 연관성을 보인다. 조직소견으로는 cuboid epithelial lining의 점액이 관찰된다.

Pathologic Basis of Disease, Robbins Pathology, 10th edition (pg 889)

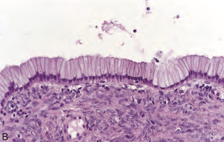
• Mucinous cystic neoplasm은 점액성분을 함유하고 있는 비교적 큰 낭종이다. 주로 췌장의 꼬리에서 발생하며, 조직학적으로는 columnar mucin-producing epithelium와 ovarian stroma와 유사한 dense stroma가 관찰된다. 환자의 95%가 여성이며, invasive adenocarcinoma로 진행할 확률이 50%로, 발견 즉시 수술 대상으로 고려된다. KRAS mutation이 환자의 50%에서, RNF43는30%에서 발견된다.

Pathologic Basis of Disease, Robbins Pathology, 10th edition (pg 889)

• Intraductal pancreatic mucinous neoplasm은 mucinous cystic neoplasm와 같은 mucin-producing neoplasm으로, 남성에서 호발하며 pancreatic duct에서 주로 발생한다. 악성화 될 확률이 높아 발견 즉시 수술 대상으로 고려된다. KRAS mutation이 환자의 80%에서, RNF43는 50%에서 발견된다.

Pathologic Basis of Disease, Robbins Pathology, 10th edition (pg 90)

관련 이론

췌장 종양

Reference

• Robbins and Cotran, Pathologic Basis of Disease, 10e