마이노트

단축키 정보를 확인하세요!

[RES23]

0

여기에 표시한 문제들은 마이노트에서 모아볼 수 있어요!

68세 남성이 숨이 차다며 내원하였다. 40년의 흡연력이 있다. 기침과 묽은 가래가 나오고, 걸을 때 숨 차는 증상이 더 심해진다고 한다. 지난 4년 동안 증상이 간헐적으로 나타났다고 한다. 활력징후는 혈압 135/85 mmHg, 맥박 98/분, 호흡수 22/분, 체온 36.7도였다. 비강 캐뉼라로 산소 4L를 투여한 후 시행한 동맥혈 가스분석 결과는 다음과 같다. 진단은?

pH 7.36, PaO2 73 mmHg, PCO2 48 mmHg, HCO3- 28mEq/L

산소포화도 93%

정답률 90%

누적 풀이 횟수 2,400+

평균 풀이 시간35초

/

나의 풀이 시간0

Imp: emphysema

해설

• 50년의 흡연력과 기침, 가래, 호흡곤란 증상이 있고, 검사실 검사 상 호흡성 산증 소견, 흉부 X선상 폐기종 소견이 관찰되는 COPD가 의심되는 환자이다.

lab

pH 7.36 (정상 범위: 7.35-7.45): 정상 범위에 있으나, 약간의 산성화가 되어 있음.

PCO2 48 mmHg (정상 범위: 35-45 mmHg): 고탄산혈증을 시사

→ 병력을 고려할 때 만성 호흡성 산증으로 생각됨

HCO3- 28 mEq/L (정상 범위: 22-26 mEq/L): 만성 호흡성 산증에서 PCO2가 10 mmHg 증가할 때마다 HCO3-는 약 4 mEq/L 증가하므로, 보상은 적절함.

PaO2 73 mmHg, 산소포화도 93%: COPD에서 SpO2 target은 88-92%이므로 비교적 적절함

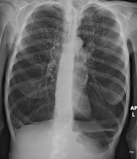
• X선 사진에서 diaphragm이 flattened되어 lung이 hyperinflated되어 있는 양상이 관찰되므로, 폐기종이 정답이다.

* COPD의 주요한 subtype으로 chronic bronchitis와 emphysema가 있다. 이중 폐기종은 여러가지 요인에 의해 폐 실질의 alveolar septa가 파괴되어 폐표면적이 감소하며 기체교환의 장애가 생기고, elastic recoil 능력이 감소하며 폐의 과팽창이 일어나는 상황이다.

Tip

• Chest X-ray 사진만 보더라도 쉽게 정답을 유추할 수 있어야 한다.

오답 선지

• 기관지확장증 : 흉부 X선 사진에서 ring shadow, tram-track sign이 대표적 소견이다.

• 급성호흡곤란증후군 : ARDS의 진단기준 중 CXR에서 bilateral opacity가 보이지 않는다. ARDS의 진단기준은 모두 만족해야 ARDS로 정의할 수 있다.

• 세기관지염 : 세기관지염은 주로 소아에서 발생하며, 성인에서 만성적으로 발생하는 경우는 잘 없다. COPD는 보다 성인에서 흔하며, 흡연과 관련되어 있고 병력과 X선 소견, lab을 종합적으로 봤을 때 보다 가능성이 높다.

• 천식 : 급성 악화 때는 저산소증과 고탄산혈증이 발생할 수 있지만, 만성적인 저산소증과 고탄산혈증은 보다 COPD에 가까운 소견이다. 또한 천식은 주로 어리거나 젊은 나이에 잘 발생하며, 유발 요인이 있고 발작적으로 증상이 발생하는 반면, COPD는 흡연력과 관련이 있으며, 만성적이고 지속적, 비가역적이다.

관련 이론

만성폐쇄성폐질환

Reference

지문 사진