마이노트

단축키 정보를 확인하세요!

[MD25]

0

여기에 표시한 문제들은 마이노트에서 모아볼 수 있어요!

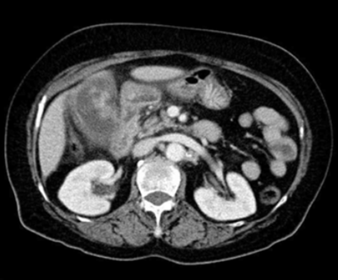
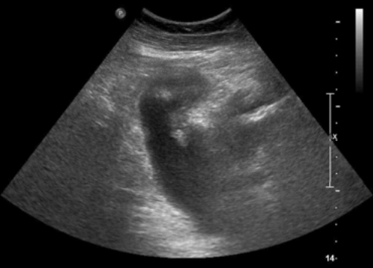
55세 여자가 2개월 전부터 소화가 안 되고 배가 불편해서 병원에 왔다. 1개월 전 위내시경 검사에서 이상은 없었다. 2주 전부터 밥을 먹고 나면 윗배가 더 불편하고 소화도 잘 안 된다고 한다. 혈압 120/80 mmHg, 맥박 80회/분, 호흡 13회/분, 체온 36.6℃이다. 오른쪽 윗배에 압통이나 반동압통은 없다. 혈액검사 결과는 다음과 같다. 복부 초음파검사 사진과 복부 컴퓨터단층촬영 사진이다. 치료는?

혈색소 15.5 g/dL, 백혈구 8,500/mm3

혈소판 155,000/mm3

총빌리루빈 0.9 mg/dL, 알칼리성인산염분해효소 115 U/L

아스파트산아미노기전달효소 45 U/L

알라닌아미노기전달효소 74 U/L

알파태아단백질 3.2 ng/mL (참고치, <5)

암배아항원 1.3 ng/mL (참고치, <5)

CA 19-9 6.0 U/ML (참고치, <37)

정답률 80%

누적 풀이 횟수 3,000+

평균 풀이 시간59초

/

나의 풀이 시간0

CC

F/55, 소화불량/복부불편감(2m)

Hx

S/Sx

식후 상복부 불편감 및 소화불량 악화(2w)

V/S 120/80 80 13 36.6, RUQ dT/rT(-/-)

Lab

AST↑, ALT↑

Img

US: Gallbladder mass without posterior shadow

CT: 2-3 cm irregular margin mass in the gallbladder

Etc

Imp: 담낭암(gallbladder cancer, GB adenocarcinoma)

DDx: 담낭용종(gallbladder polyp)

해설

담낭암의 근치적 치료로 담낭절제술을 시행한다.

• 55세 여자가 2개월 전부터 발생한 소화불량복부 불편감을 주호소로 내원하였다.

• 증상이 식후에 악화된다는 점에서 담낭질환 가능성을 우선적으로 의심해야 한다.

• V/S stable하고 우상복부의 압통/반동압통은 관찰되지 않으므로 급성 담낭염의 가능성은 낮을 것으로 판단된다.

• 복부 초음파 검사에서 담낭벽에 후방음영이 없는 덩이가 관찰되었다. 해당 병변은 불규칙한 형태heterogenous한 내부 구조를 보이고, 비대칭적인 담낭벽 비후를 동반하였다. 또한 크기가 1cm 이상으로 관찰되어 담낭암 가능성을 강력하게 의심해야 한다

• 병기 설정을 위해 시행한 CT에서 portal vein 침범이나 간의 광범위한 침윤 소견이 확인되지 않았으므로 절제가능한 병변으로 판단된다.

• 담낭암의 치료는 절제가 유일한 근치적 치료 방법이므로 담낭절제술을 시행해야 한다.

Tip

• 담낭암에서는 혈액검사 소견이 비특이적인 경우가 많다. ALP 및 빌리루빈 상승은 주로 담도 폐쇄에 의해 발생하며 암의 특이적 지표라기보다는 폐쇄성 병변을 반영한다. CEA와 CA 19-9와 같은 종양 표지자가 상승하는 경우가 흔하지만, 이들 지표는 특이도와 민감도가 낮아 진단적 가치는 제한적이나 수술 후 재발 감시 목적으로 사용될 수 있다.

담낭암 정리

위험요인

• 담석증, 담낭 용종, PSC, porcelain GB, 총담관낭 등

임상양상

• 무증상 → RUQ 통증, 황달

진단

• US, CT 등

치료

• 근육층 침범 없음: 담낭절제술

• 담낭 내부에 국한: 확대 담낭절제술 (간, LN, + CBD 등)

• 담낭 외 전이: 고식적 치료

오답 선지

• 경과관찰: 폴립의 크기가 크고 환자가 증상을 호소하므로 수술적인 치료가 필요하다.

• 내시경조임근절개: 담관담석이 발견되는 경우 시행하나 해당 증례에서는 담석의 존재를 확인할 수 없다.

• 피부경유담낭배액, 피부간경유담즙배액: 담도 폐쇄에 의해 담즙 배출 이상이 생기는 경우 이에 대한 합병증을 치료, 예방하기 위해 시행할 수 있다. ALP 상승으로 보아 담도폐쇄가 의심되나, 그 원인이 tumor-like lesion인 것으로 보이고 이에 대한 증상 해결 및 정확한 진단을 위해 담낭절제술이 우선되는 상황이며, 수술 진행에 어려움을 초래할 요인도 확인되지 않으므로 배제할 수 있다.

관련 이론

담낭암

Reference

Harrison 21e, p.656

한국간담췌외과학회 가이드라인, 2018