마이노트

단축키 정보를 확인하세요!

[MD25]

0

여기에 표시한 문제들은 마이노트에서 모아볼 수 있어요!

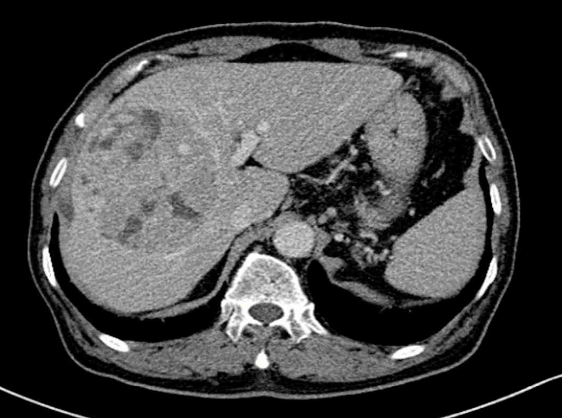
55세 남자가 1개월 전부터 오른쪽 윗배에서 덩이가 만져 진다고 병원에 왔다. 혈압 140/80 mmHg, 맥박 98회/분, 호흡 14회/분, 체온 36.9°C이다. 오른쪽 윗배에 압통이 있으며 반동압통은 없다. 혈액검사 결과는 다음과 같다. 복부 컴퓨터 단층촬영 사진이다. 진단은?

혈색소 11.9 g/dL, 백혈구 3,400/mm3 , 혈소판 98,000/mm3

프로트롬빈시간 16.8초 (참고치, 12.7~15.4)

알부민 3.0 g/dL, 총빌리루빈 1.8 mg/dL

아스파트산아미노기전달효소 52 U/L

알라닌아미노기전달효소 58 U/L

HBsAg (+), anti-HBs (-), anti-HCV (-)

정답률 84%

누적 풀이 횟수 3,200+

평균 풀이 시간33초

/

나의 풀이 시간0

CC

M/52, RUQ덩이(1m)

Hx

S/Sx

V/S 140/80 98 14 36.9, RUQ dT/rT(+/-)

Lab

Hb↓, WBC↓, PLT↓

PT↑, albumin↓, T.bilirubin↑, AST/ALT↑, HBsAg(+)

Img

CT: Hepatic mass at right lobe, early enhancement-early washout

Etc

Imp: 간세포암종(hepatocellular carcinoma, HCC)

해설

B형 간염 환자에게서 1cm 이상의 종괴가 확인되고, 조영증강 CT상 early enhancement-early washout 소견이 확인되었으므로 간세포암종으로 진단한다.

• 52세 남자가 1개월 전부터 만져지는 우상복부 덩이를 주호소로 내원했다.

• 우상복부 압통외에 다른 증상을 호소하지는 않는다.

• 혈액검사 결과 mild한 pancytopenia 소견이 관찰되며, PT prolongation, hypoalbuminemia, hyperbilirubinemia, AST/ALT mild elevation 소견이 관찰되며, HBsAg(+)이므로 HBV 보균자임을 고려할 때 B형 간염에 의한 비대상성 간경변이 있는 것으로 추정된다

• 조영증강 CT상 간 우엽에서 large mass가 관찰되며, 동맥기에는 주변 조직에 비해 밝게 조영증강되었다가, 정맥기/문맥기에는 주변조직보다 어두워지는 early enhancement-early washout 소견이 확인된다.

B형 간염 환자에게서 1cm 이상의 종괴가 확인되고, 조영증강 CT상 early enhancemnet-early washout이 확인되었으므로 추가적인 조직검사 없이 간세포암종(hepatocellular carcinoma)로 진단 가능하다.

Tip

• 본 증례의 첫 번째 사진은 aorta가 밝으므로 동맥기이고, 두 번째 사진은 portal vein과 aorta의 밝기가 비슷하므로 문맥/정맥기이다.

간 종괴의 CT 소견 비교

간세포암 정리

원인

• 간경변, 만성 B형/C형 간염

임상양상

• 무증상 → 복부불편감, 소화불량, 복통 등

• 기타 간경변 관련 임상양상

진단

• Dynamic CT/MRI: 아래 모두 만족시 확진

- Early enhancement & early washout

- ≥ 1cm

- 간경변, 만성 B형/C형 간염 과거력

치료

• 단일 병변 & 간기능 좋음: 간절제술

• Milan criteria & 간기능 나쁨: 간이식

• 여러 병변 & 간절제술/간이식 불가: TACE

• Portal/LN/원격 전이: Atezolizumab + bevacizumab, sorafenib 등

오답 선지

• 간낭종: 간낭종은 동맥기, 문맥기에 따라 조영증강에 변화가 없다.

• 간고름집: 동맥기, 문맥기에 따라 조영증강에 큰 변화 없이 multiloculated hypoechoic 소견을 주로 나타내며, 임상적으로는 발열이 흔히 동반된다.

• 간혈관종: 조영증강 CT상 종양 주변부 부터 중심부로 서서히 조영증강되는 양상을 보이며, 조영증강이 오랫동안 지속되는 특징을 보인다.

• 국소결절증식증: CT상 strong hypervascularity with central nonenhancing scar 소견이 관찰된다.

관련 이론

간세포암

Reference

Sabiston 21e, pp.1465-1472

AASLD guideline, 2023

대한간암학회 가이드라인, 2022