[임종평25-2]
0
여기에 표시한 문제들은 마이노트에서 모아볼 수 있어요!
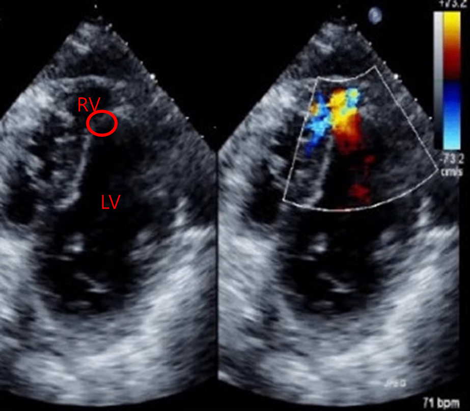
74세 여자가 30분 전부터 숨이 찬다며 병원에 왔다. 1주 전 심근경색증으로 관상동맥중재술을 받았다고 한다. 혈압 90/60 mmHg, 맥박 110회/분, 호흡 30회/분, 체온 37.5 ℃이다. 가슴 청진에서 양폐야에 거품소리가 들리고 복장뼈 좌하연에서 5/6도의 수축기 심잡음이 들린다. 심초음파검사 사진이다. 치료는?

정답률 59%
누적 풀이 횟수 900+
평균 풀이 시간42초
/
나의 풀이 시간0초
CC | F/74, 호흡곤란(30m) |
Hx | 1주 전: MI s/p PCI |
S/Sx | V/S 90/60 110 30 37.5, both lung rale, 흉골좌하연 systolic murmur |
Lab | |
Img | |
Etc | Echo: Shunt flow across the interventricular septum, consistent with VSR |
Imp: 심실중격파열(interventricular septal rupture, VSR)
해설
심근경색 1주 후 갑작스러운 폐부종과 함께 복장뼈 좌하연에서 수축기 심잡음이 들리고 심초음파에서 좌심실과 우심실 사이의 결손이 관찰되므로 외과적 봉합수술로 치료한다.
• 74세 여자가 30분 전부터 지속되는 호흡곤란을 주호소로 내원했다.
• 1주 전 MI 이후 PCI를 받은 과거력이 있는데, 심잡음이 청진되므로 MI의 기계적 합병증을 고려해야 한다. VSR, papillary muscle rupture에 의한 mitral regurgitation 등을 감별해야 한다.
• 심초음파상 LV와 RV 사이의 와류가 확인된다. 따라서 VSR로 진단할 수 있으며, 현재 혈역학적으로 불안정하므로 응급 수술이 필요하다.
• 따라서 정답은 외과적 봉합수술이다.
Tip
오답 선지
• 삽입형제세동기시술(implantable cardioveter-defibrillator, ICD): 심실빈맥, 심실세동과 같은 치명적 부정맥 예방을 위해 사용된다. 본 증례는 급성 심근경색 후 발생한 기계적 합병증으로 인한 급성 심부전과 심장성 쇼크 상황이므로 우선적인 치료가 아니다.
• 좌심실보조기구삽입술(left ventricular assist device, LVAD): 주로 말기 만성 심부전에서 최종적인 치료 또는 심장이식 대기 전 치료로 사용되는 기구로, 좌심실에서 혈류를 빼내 펌프를 이용해 대동맥으로 공급하는 체내 장치를 일컫는다. MI 후 VSR은 수술적 교정시 심장성 쇼크를 해소시킬 수 있으므로 본 증례에서 현재 LVAD를 삽입하는 것은 부적절하다.
• 피부경유승모판성형술(percutaneous mitral commissurotomy, PMBC): 주로 severe mitral stenosis에서 시행하는 시술이다.
• 피부경유관상동맥중재술(percutaneous coronary intervention, PCI): 급성 관상동맥 폐색으로 인한 심근허혈을 해소하기 위한 시술이다. 본 증례는 PCI를 시행받은 coronary artery 자체의 문제보다는 MI의 후유증으로 인한 VSR이 문제인 상황이므로, PCI의 재시행은 무의미하다.
관련 이론
• 급성 관상동맥 증후군
Reference
• Harrison 21e, pp.2046-2066