[임종평25-2]
0
여기에 표시한 문제들은 마이노트에서 모아볼 수 있어요!
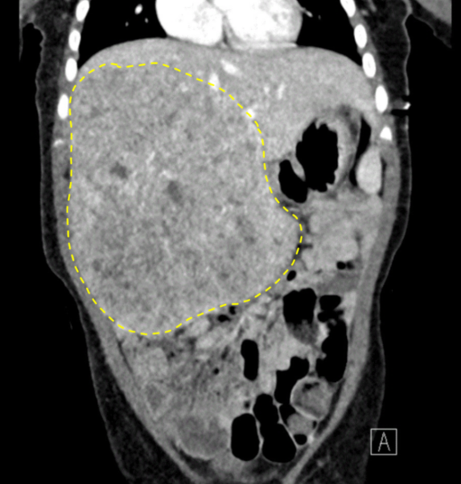
1세 남아가 3일 전부터 윗배에서 덩어리가 만져져서 왔다. 1개월 전부터 잘 먹으려 하지 않고 먹지 않아도 배가 불러 보이며 자주 보챈다고 한다. 혈압 150/90 mmHg, 맥박 90 회/분, 호흡 20회/분, 체온 37.0 ℃이다. 왼쪽에 비해 오른쪽 팔다리가 더 두꺼우며 오른쪽 윗배에서 손바닥 크기의 단단한 종괴가 만져진다. 검사 결과는 다음과 같다. 복부 컴퓨터단층촬영 사진이다. 치료는?
검사결과소견:
혈액: 백혈구 11,300/mm3, 혈색소 11.3 g/dL, 혈소판 759,000/mm3
알파태아단백질 60,500 ng/mL (참고치, <8.5)
소변: 적혈구 0~1/고배율시야, 백혈구 0~1/고배율시야
바닐릴만델산 5 mg/g 크레아티닌 (참고치, <11)

정답률 63%
누적 풀이 횟수 900+
평균 풀이 시간27초
/
나의 풀이 시간0초
CC | M/1, 복부덩이(3d) |
Hx | |
S/Sx | V/S 150/90 90 20 37.0 반신비대(Rt.), RUQ mass 촉지 |
Lab | AFP↑, PLT↑ |
Img | CT: Large heterogenous mass lesion arising from right liver lobe |
Etc |
Imp: 간모세포종(hepatoblastoma)
해설
소아에서 간 종괴가 확인되고 AFP가 현저히 상승해있으므로 간모세포종으로 진단하며, 치료는 항암화학요법과 종양의 완전 절제이다.
• 1세 남아가 3일 전부터 만져지는 우상복부 종괴를 주소로 내원하였으며, 1개월 전부터 식욕부진과 복부 팽만이 선행되었다.
• 진찰에서 우상복부에 손바닥 크기의 단단한 종괴가 촉지되고, 혈압이 150/90 mmHg로 영아에서 비정상적으로 높은 고혈압을 보여, 복부 종양에 의한 신장 혈관 압박 또는 레닌 분비 증가에 따른 이차성 고혈압이 의심된다.
• 혈액검사에서 AFP가 60,500 ng/mL로 극심하게 상승해 있으며, 이는 영유아 간 종양 중 가장 흔한 간모세포종에서 특징적으로 나타나는 소견이다.
• 소변 VMA는 정상으로 신경모세포종의 가능성은 낮고, CT에서 Rt. liver lobe에 크고 불균질한 종괴(large heterogenous mass)가 확인되어 간모세포종 진단에 결정적으로 부합한다.
• 간모세포종의 표준 치료는 수술 전 항암화학요법(neoadjuvant chemotherapy)으로 종양 크기를 감소시킨 후, 종양의 완전 절제(R0 resection)를 시행하는 것이며 필요 시 절제 후 보조 항암 화학 요법을 시행할 수 있다. 따라서 정답은 항암화학치료 + 종양완전절제이다.
Tip
• 본 환아에서 관찰되는 오른쪽 팔다리의 편측비대(hemihypertrophy)는 베크위트-위드만 증후군(Beckwith-Wiedemann syndrome)과의 연관성을 시사하며, 이 경우 간모세포종과 윌름종양 발생 위험이 유의하게 증가한다. Beckwith-Wiedemann syndrome은 organomegaly(간, 신장, 부신, 이자), 대설증(macroglossia), omphalocele, hemihypertrophy가 동반된 염색체 이상 증후군이다.
• 또한 간모세포종에서는 종양에서 분비되는 cytokine 등의 영향으로 혈소판 증가증이 동반되기도 한다.
오답 선지
• 항암화학치료: 항암 단독 치료로는 완치를 기대할 수 없다. 간모세포종의 근치적 치료를 위해서는 반드시 수술적 완전 절제가 병행되어야 한다.
• 항암화학치료 + 방사선치료: 간모세포종의 표준 치료는 수술적 절제와 항암화학요법의 병합이다. 방사선 치료는 효과를 나타내기 위해 요구되는 방사선량이 높기 때문에 간 손상 위험이 크며, 절제가 불가능한 경우에 제한적으로 사용할 수 있다.
• 항암화학치료 + 종양완전절제 + 방사선치료: 소아의 간은 방사선 감수성이 예민하여, 치료 효과를 낼 정도의 선량을 조사할 경우 심각한 간 손상이나 성장 장애를 초래할 위험이 크다. 따라서 종양이 완전 절제된 경우에는 방사선 치료를 시행하지 않는 것이 원칙이다.
• 항암화학치료 + 종양완전절제 + 자가조혈모세포이식: 자가조혈모세포이식을 포함한 고용량 항암치료는 주로 예후가 나쁜 고위험 신경모세포종의 표준 치료 방법이다. 본 증례는 VMA 정상, AFP 극심한 상승 소견으로 보아 신경모세포종이 아닌 간모세포종이며, 자가조혈모세포이식은 간모세포종의 일차 표준 치료에 포함되지 않는다.
관련 이론
• 소아 고형장기암
Reference
• 홍창의 소아과학 12e, pp.1007-1008