[임종평25-2]
0
여기에 표시한 문제들은 마이노트에서 모아볼 수 있어요!
13세 여아가 키가 작아서 왔다. 임신나이 40주, 체중 2,900 g으로 출생하였으며, 부모님 키는 아빠 173 cm, 엄마 156 cm이다. 키 145 cm (2백분위수), 체중 40 kg (10-25백분위수)이고, 1년 전 키는 139 cm이다. 뼈나이 X선검사와 상체 사진소견이다. 다음 검사는?


정답률 95%
누적 풀이 횟수 700+
평균 풀이 시간14초
/
나의 풀이 시간0초
CC | F/13, 저신장 |
Hx | IUP 40wk, 2900g |
S/Sx | 145cm(2p)/40kg(10-25p) 1년 전: 139cm |
Lab | |
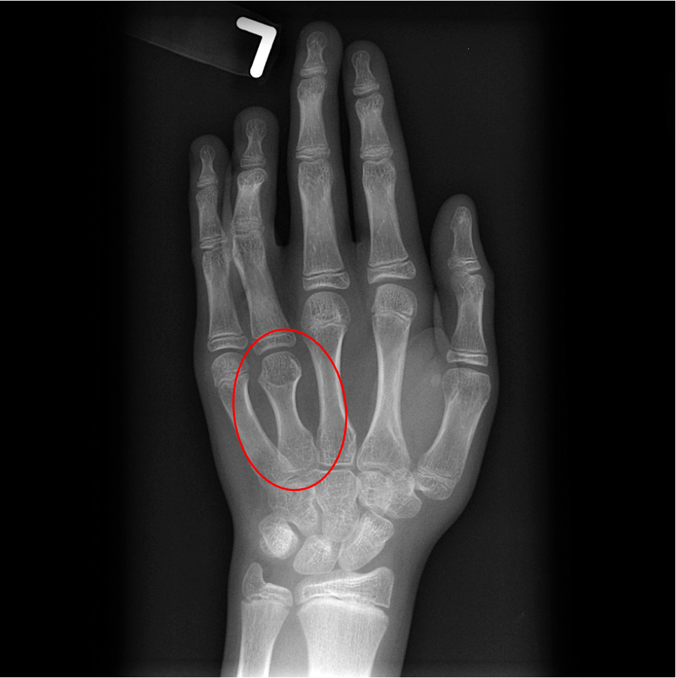
Img | Wrist radiograph: Short 4th metacarpal bone |
Etc | 상체: 방패형 가슴, 짧은 목, cubital valgus, widely spaced nipples 부모 키: 부173cm/모156cm |
Imp: 터너 증후군(Turner syndrome)
해설
저신장을 보이는 환아에서 터너증후군의 양상이 확인되므로, 감별을 위해 염색체검사를 시행한다.
• 13세 여아가 저신장을 주호소로 내원하였다.
• 키는 145 cm(2백분위수)로 또래에 비해 현저한 저신장을 보이며, 지난 1년간 성장 속도는 연 6 cm로 급격한 성장 정체는 아니지만, 병적 원인에 대한 감별이 필요한 상태이다.
• 신체 진찰에서 넓은 유두 사이 거리, 방패형 가슴, 짧은 목과 같은 체형 이상이 관찰되고, 뼈 나이 평가를 위해 촬영한 손 X선에서 4번째 중수골 단축(short 4th metacarpal)이 확인되는데, 이는 터너 증후군을 시사하는 특징적인 소견이다.
• 임상적으로 저신장과 특징적인 체형 및 골격 이상이 동반된 점을 고려할 때, 일차적으로 염색체 수적 이상(특히 45,X)을 의심해야 한다.
• 따라서 본 환아에서 가장 우선적으로 시행해야 할 검사는 터너 증후군 여부를 확인하기 위한 염색체검사(핵형 분석, karyotyping)이다.
Tip
• 참고로 제시된 손목 X선 사진에서 뼈나이는 13세 정도로 평가되는데, 터너 증후군에서는 뼈나이가 실제 연령과 비슷하거나 에스트로겐 결핍으로 인해 약간 지연될 수 있다.
• 터너증후군에서는 SHOX 유전자 결손에 따른 장골 성장 장애와 사춘기 에스트로겐 결핍으로 인한 성장판 자극 부족으로 사춘기 급성장이 나타나지 못하며, 그 결과 저신장을 보이게 된다.
오답 선지
• 유전자 검사: 터너 증후군은 유전자 돌연변이가 아닌 염색체 수적 이상(45,X)이 주원인이므로 유전자 검사보다 염색체 검사를 먼저 시행해야 한다. 유전자 검사는 특정 단일 유전 질환(SHOX 결핍 등)을 구체적으로 감별할 때 고려한다.
• 레보도파 자극 검사: 레보도파 자극 검사는 성장호르몬 결핍을 평가하는 검사로, 본 환아는 성장 속도가 연 6 cm로 심한 성장 정체가 없고 터너를 시사하는 체형 이상이 뚜렷하여 1차 검사가 아니다.
• 갑상샘자극호르몬방출호르몬 자극검사: 갑상샘 기능 저하로 인한 저신장이라면 심각한 성장 속도 저하가 동반되어야 하므로 본 증례와 맞지 않는다. 또한 저신장의 일차 선별 검사로 통상적으로 사용되는 검사도 아니다.
• 생식샘자극호르몬방출호르몬 자극검사: 성조숙증이나 사춘기 지연을 평가하는 검사이다. 터너 증후군에 의한 사춘기 지연이 의심되더라도, 기저 질환인 터너 증후군 자체를 확진하는 것이 순서이므로 염색체 검사가 선행되어야 한다.
관련 이론
• 저신장
• 염색체 이상 질환
Reference
• 홍창의 소아과학 12e, pp.137-148