[MD22]
0
여기에 표시한 문제들은 마이노트에서 모아볼 수 있어요!
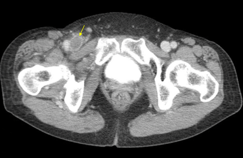
69세 여자가 5일 전부터 오른쪽 다리가 부어서 병원에 왔다. 혈압 130/90 mmHg, 맥박 64회/분, 호흡 14회/분, 체온 36.5℃이다. 다리 사진이다. 오른쪽 다리는 따뜻하고 오목부종이 있고 경미한 압통이 있다. 다리 컴퓨터단층촬영 사진이다. 진단은?


정답률 87%
누적 풀이 횟수 1,800+
평균 풀이 시간24초
/
나의 풀이 시간0초
CC | F/69, 하지부종(5d, Rt.) |
Hx | |
S/Sx | V/S 130/90 64 14 36.5, 우측 하지 부종/압통(+/+), 따뜻함 |
Lab | |
Img | 하지 CT: Rt. common iliac v. thrombotic occlusion |
Etc |
Imp: 깊은정맥혈전증(deep vein thrombosis, DVT)
해설
하지부종, 압통, 따뜻한 피부 등 임상양상과 CT 소견으로 보아 DVT로 진단할 수 있다.
• 69세 여자가 5일 전 시작된 우측 하지 부종을 주호소로 내원했다.
• 신체진찰상 다리가 따뜻하므로 동맥보다는 정맥 질환이 의심되며, 압통까지 있으므로 DVT를 강력히 의심할 수 있다.
• 하지 CT에서도 Rt. common iliac v.에 thrombotic occlusion이 관찰되므로 DVT로 진단할 수 있다.
오답 선지
• 근막염: 하지 압통이 동반될 수 있으나 부종은 흔하지 않다.
• 근육괴사: 본 증례의 경우 발열이나 하지의 색 변화 등이 관찰되지 않는다.
• 림프부종: 하지 부종에 통증이 동반되지 않으며, 본 증례의 경우 CT상 명백한 venous occlusion이 관찰된다. 초기에는 함요부종(pitting edema)이 생길 수 있으나, 진행될수록 부종은 눌러도 들어가지 않게 된다(nonpitting edema).
• 동맥색전증: 주로 폐색 부위 이하의 피부가 차가워진다.
Tip
• 말초 혈관 질환: 동맥vs정맥
깊은정맥혈전증 정리 | |
위험요인 | • 수술, 외상, 와상생활, 장기간 앉아있는 생활 • 종양, 항인지질증후군, 흡연, 임신, 에스트로겐 |
임상양상 | • 사지 통증, 부종 • Homan sign, 하지 창백/청색증 |
진단 | • D-dimer↑ • Duplex US(1st line) → 정맥조영술 |
치료 | • 항응고제: Heparin, warfarin, DOACs • 심할 시 카테터 혈전용해술/혈전제거술 고려 |
예방 | • 보행, 공기압박장치, 항응고제, vena cava filter 등 |
관련 이론
• 깊은정맥혈전증
Reference
• Sabiston 21e, pp.1827-1831