마이노트

단축키 정보를 확인하세요!

[RES17]

0

여기에 표시한 문제들은 마이노트에서 모아볼 수 있어요!

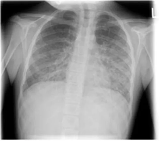
7세 여아가 급성 림프구성 백혈병 치료 중인 환자로, 최근에 발열과 함께 기침 증상이 나타나 병원을 방문하였다. 환자의 맥박은 분당 123회, 호흡은 분당 36회, 체온은 39.1℃로 측정되었다. 청진 결과 수포음은 들리지 않았으며, 콧물 검사에서 호흡기 바이러스는 음성으로 나왔다. 다음은 환자의 검사 결과이다. 흉부 X선 사진이다. 이 환자에게 적절한 치료는 무엇인가?

[혈액] WBC 1,600/㎣(분열핵 중성구 60%, 림프구 28%, 단핵구 7%, 호산구 7%),

CRP 3.0 mg/L (참고치, ⟨10)

[ABGA] pH 7.31, PaO2 80mmHg, PaCO2 30mmHg, BE –1.8, SpO2 88%

정답률 75%

누적 풀이 횟수 1,600+

평균 풀이 시간50초

/

나의 풀이 시간0

Imp: PJP

해설

ALL 치료를 받고 있는 7세 여아에서 발열, 기침, 빈맥(HR 123), 빈호흡(RR 36) 및 저산소혈증(SpO2 88%, PaO2 80mmHg)을 나타나고 있다. 호흡기 바이러스에 대한 콧물 검사 음성을 통해 바이러스성 원인을 R/O할 수 있으며, ALL 치료로 인한 면역 저하 상태(WBC 1,600)와 CXR에서 interstitial pneumonia 양상을 고려할 때 진균 및 PJP(Pneumocystis jirovecii pneumonia)을 의심할 수 있다.

PJP는 TMP-SMX(Trimethoprim-sulfamethoxazole)을 정맥 또는 경구로 2주간 투여한다. TMP-SMX가 효과가 없거나 사용할 수 없는 경우에는 pentamidine을 투여할 수 있다. 최근 연구에 따르면 prednisolone을 보조요법으로 같이 사용하다가 서서히 끊는 것도 추천되고 있다.

Tip

• 면역억제자의 폐렴에서 항상 PJP를 떠올리도록 한다.

오답 선지

• Clarithromycin : 폐렴에서 사용되기도 하는 항생제이지만, 현재는 면역저하자에 발상한 PJP가 의심되므로 TMP-SMX가 보다 적절하다.

• Ganciclovir : CMV 감염에서 사용할 수 있다.

• 조혈성장인자(EPO) : 만성콩팥병 환자나 항암화학요법 후 빈혈 치료에 사용하기도 하나, 현재 상황에서는 사용할 근거가 없다.

• 기도삽관 및 기계환기 : PaO2 80, SpO2 88로 즉각적인 기도삽관은 필요하지 않아 보인다.

관련 이론

• 폐포자충 폐렴 (PJP)

(1) 역학

- 대부분 4세 이전에 감염 되어 잠복 감염 상태에 있다가 면역 억제 상태가 되면 재활성화되어 폐렴을 일으킨다.

- 소아 AIDS 40%, 백혈병 환아 12%, 장기이식환아 10%에서 PJP에 이환될 수 있다.

(2) 증상

- Epidemic infantile form : 3~6개월 된 조산아, 영양 결핍아. 발열 없이 발병 느리고 빠른 호흡이 나타난 후 점차 청색증으로 진행

- Sporadic form : 면역이 결핍된 소아. 저산소증과 함께 급작스런 발병. 발열, 빈호흡, 호흡곤란, 기침이 진행하여 청색증 발생. 일반적으로 수포음이 들리지 않으나 후기에는 들린다.

(3) 진단

- CXR : 양측 폐문 부위에서 대칭적인 미만성 망상 결절 음영 시작 -> 말초 폐야를 향해 폐포 경화로 진행

- 개흉 생검이 가장 믿을만 함, 경기관지 폐생검, 경피적 세침 흡입 생검, 기관지폐포 세척액 검사

- 소아는 검사의 위험성으로 유도 객담 세포 검사(but 낮은 민감도)

- PCR 검사

(4) 치료

- TMP-SMX : IV or PO 2주 투여

- Pentamidine : TMP-SMX로 예방중 발병, TMP-SMX 5~7일 투여에도 호전 없음, 설파제 과민 반응

- Prednisolone : 보조 요법으로 7일간 사용 후 서서히 감량

Reference

• 홍창의 소아과학 12e, pp.766~767