마이노트

단축키 정보를 확인하세요!

[RES20]

0

여기에 표시한 문제들은 마이노트에서 모아볼 수 있어요!

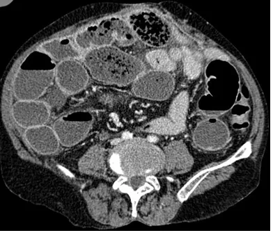
82세 여성이 3일 전부터 복부 팽만감을 호소하며 가스 배출이 없고 대변을 보지 못했다. 6년 전 대장암 수술로 인한 일부 대장 절제술을 시행받았다. 혈압은 128/80 mmHg, 맥박은 76회/분, 체온은 37.2℃로 측정되었다. 복부는 팽만해 있었지만, 특별한 압통이나 반발압통은 관찰되지 않았다. 복부 X선 및 CT를 통해 진단을 시도하였다. 적절한 치료 방법은 무엇인가?

정답률 82%

누적 풀이 횟수 1,800+

평균 풀이 시간29초

/

나의 풀이 시간0

CC

82/F, 복부 팽만감, 변비

Hx

대장암, 대장 부분 절제술

S/Sx

V/S stable, distended abdomen, dT/rT -/-

Lab

Img

AXR, APCT: stepladder sign

Etc

Imp: 소장폐색(small bowel obstruction)

해설

V/S stable한 장폐색에 대하여 수액 공급, 비위관 삽입 등의 치료를 진행한다.

• 복부팽만, 변비를 호소하는 환자의 AXR, APCT상 stepladder sign 및 small bowel dilatation이 관찰되어 소장폐색으로 진단할 수 있다.

• 환자의 복부 수술력(대장암 수술)으로 인한 adhesion이 장폐색의 원인일 가능성이 높다.

• V/S stable하고 압통, 반발압통이 관찰되지 않아 교액의 가능성은 낮고, 따라서 응급 수술을 진행할 필요는 없다.

• 따라서 치료는 비위관 삽입, 수액 공급이다.

오답 선지

• 직장관 삽입: Distal large bowel obstruction이 있으면서 rectal tube로 감압이 가능할 경우 시행하는 치료법이다.

• 결장스텐트삽입술: 종양 등으로 결장 폐쇄가 있을 때 선택하는 치료법이다.

• 탐색개복술: 현재 교액의 징후는 없어 내과적 치료를 먼저 시도한다.

• 장간막동맥조영술: 장간막폐쇄의 진단에 사용된다.

관련 이론

장폐색

Reference

• Sabiston 21e, pp.1250-1258