마이노트

단축키 정보를 확인하세요!

[RES22]

0

여기에 표시한 문제들은 마이노트에서 모아볼 수 있어요!

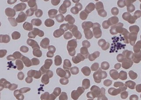
29세 여성이 정기 건강 검진에서 혈소판 수치가 비정상적으로 낮게 나왔다며 병원을 방문했다. 그녀는 출혈이나 멍이 드는 증상을 경험하지 않았다고 말했다. 혈액검사 결과와 말초혈액도말 사진이다. 필요한 처치는?

WBC 5,200/mm3, Hb 12.9 g/dL, platelet 28,000/mm3

정답률 96%

누적 풀이 횟수 1,900+

평균 풀이 시간12초

/

나의 풀이 시간0

Imp: 거짓혈소판감소증(pseudothrombocytopenia)

해설

특이 증상 없이 검진 CBC상 thrombocytopenia로 내원한 환자이며, PB smear상 platelet agglutination이 확인되므로 pseudothrombocytopenia가 의심된다. 이런 경우 heparin tube 또는 sodium citrate tube를 이용한 재검을 먼저 실시한다.

오답 선지

• 혈소판 수혈, 혈장교환술, 스테로이드: 진성 혈소판감소증이 확인된 경우 고려할 수 있다. 혈소판 수혈은 수혈 적응증에 따라 시행하며, 혈장교환술은 주로 TTP의 치료로, 스테로이드는 ITP, TTP 등의 치료로 사용된다.

• 골수검사: Hb, WBC count 이상소견이 동반되어 hematologic malignancy가 의심될 경우 고려할 수 있다.

관련 이론

혈전성혈소판감소자반증

혈소판감소증의 접근

혈소판감소증의 분류

Reference

• Harrison 21e, pp.450-457