마이노트

단축키 정보를 확인하세요!

[기종평22]

0

여기에 표시한 문제들은 마이노트에서 모아볼 수 있어요!

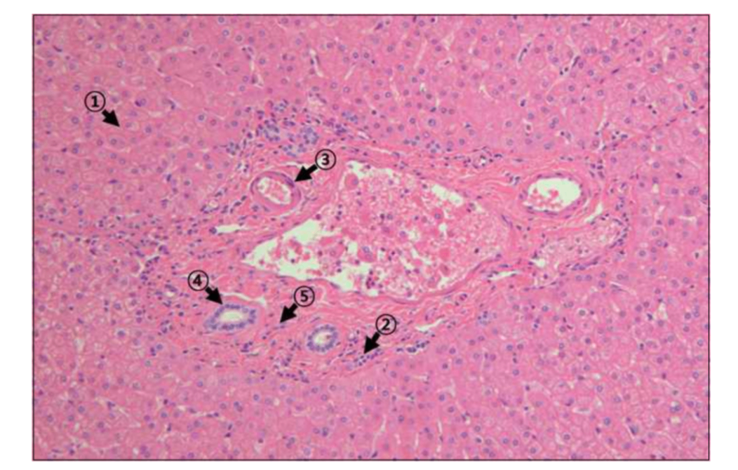
25세 남자(기부자)는 간경변으로 고생하는 아버지의 생체 간 이식을 위해 본인의 간 일부를 제공하였다. 이 기부자의 간은 거의 정상 크기로 재생할 것으로 예상된다. 이때 활발한 세포 분열을 통하여 간의 재생에 가장 많이 기여하는 세포는?

정답률 80%

누적 풀이 횟수 200+

평균 풀이 시간15초

/

나의 풀이 시간0

해설

• 간 재생은 간세포의 활발한 분열과 증식에 의해 이루어진다.

Reference

• Robbins and Cotran, Pathologic Basis of Disease, 10e