마이노트

단축키 정보를 확인하세요!

[기종평22]

0

여기에 표시한 문제들은 마이노트에서 모아볼 수 있어요!

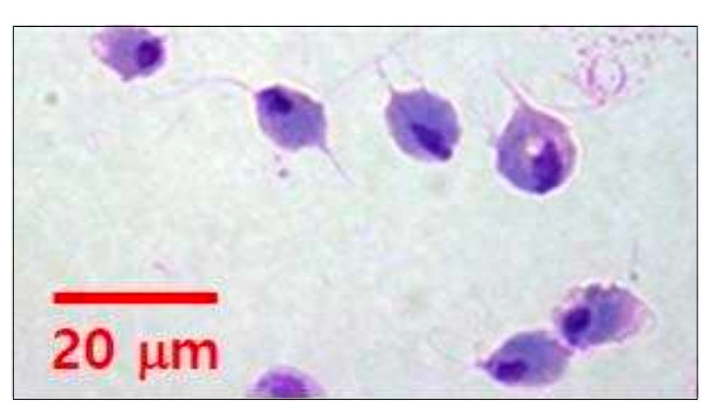
28세 남자가 소변을 볼 때 회음부가 아프다고 병원에 왔다. 전립선의 염증이 의심되어 시행한 전립선분비물펴바른표본 사진이다. 치료는?

정답률 78%

누적 풀이 횟수 300+

평균 풀이 시간8초

/

나의 풀이 시간0

해설

• 원충 중 편모충류에 속하는 질편모충(Trichomonas vaginalis)는 성접촉에 의해 감염되며 우리나라 여성에서 질 관련 증상의 10% 이상을 차지한다.

• 4개의 전편모, 1개의 후편모가 있으며 중간에서 끝나는 파동막이 존재한다.

• 영양형만 있고 포낭시기는 없다.

• 질 상피세포를 변성 및 탈락시키고 주위 조직에 염증을 일으킨다.

• 여성에서 국부 가려움증, 작열감, 질염 등 증상이 심한데, 특히 월경 후에 악화되는 경향을 보인다.

• 남성은 대개 무증상인 반면, 드물게 요도 가려움과 통증이 발생할 수 있다.

• 분비물, 소변 등에서 원충을 검출하여 진단한다.

• 치료는 메트로니다졸로 하며, 증상이 없는 파트너도 동시에 치료하여야 한다.

추가 설명

• 기생충 질환 중 환자 수가 가장 많고, 의료비 지출도 가장 많다.

관련 이론

질편모충, 기생충의 치료제