마이노트

단축키 정보를 확인하세요!

[기종평19]

0

여기에 표시한 문제들은 마이노트에서 모아볼 수 있어요!

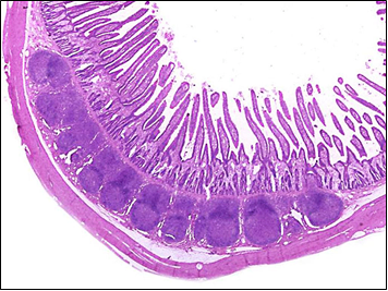
소화관 현미경 사진이다. 해당하는 장기는?

정답률 77%

누적 풀이 횟수 100+

평균 풀이 시간8초

/

나의 풀이 시간0

해설

• 짧고 많은 융모(villi)가 관찰되며, 이는 돌창자(ileum)의 특징적인 소견이다.

• 벽을 따라 어둡게 보이는 보라색 덩어리는 Peyer's patch로, 돌창자 점막과 점막하층에서만 존재하는 큰 림프 조직 덩어리(lymphatic tissue)이다.

오답 풀이

• 위(stomach)는 융모가 없고, 위샘(gastric gland)이 점막 깊이 존재하며, 점막 표면이 평탄한 것이 특징이다.

• 잘록창자(colon)는 융모가 없고 점막이 평탄하며, 많은 술잔세포가 분포하는 것이 특징이다.

• 빈창자(jejunum)는 긴 융모와 많은 돌림주름(plicae circulares)이 특징이지만, 사진처럼 큰 림프소절(Peyer’s patch)은 존재하지 않는다.

• 샘창자(duodenum)는 융모와 함께 점막하층에 Brunner샘(Brunner’s gland)이 존재하는 것이 특징이다.

관련 이론

소장의 구조