마이노트

단축키 정보를 확인하세요!

[기종평19]

0

여기에 표시한 문제들은 마이노트에서 모아볼 수 있어요!

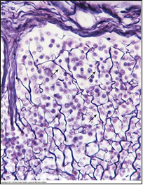
조직의 일부를 은염색(silver preparation)한 사진이다. 이 염색에 양성반응을 보이는 섬유(화살표)의 특징은?

정답률 46%

누적 풀이 횟수 100+

평균 풀이 시간22초

/

나의 풀이 시간0

해설

• 은염색으로 염색되는 섬유는 그물섬유(reticular fiber)이다.

• Reticular fiber는 mesh-like network를 형성해 여러 조직과 기관의 세포 성분을 지지하는 뼈대를 구성한다.

오답 풀이

• 유연하고 신축성, 탄력성이 강한 것은 탄력섬유(elastic fiber)의 특징이다.

• 결합조직 섬유 중에서 가장 흔한 것은 콜라겐 섬유(collagen fiber)로, 피부, 뼈, 힘줄, 인대 등 결합조직의 기초 구조를 이룬다.

• 조직이 지나치게 당겨져 찢어지는 것을 방지하는 것 또한 콜라겐 섬유로, 강한 인장력에 저항하기 위해 굵고 튼튼한 구조물을 갖고 있다.

Tip

섬유 종류

특징

예시

콜라겐 섬유

(collagen fiber)

유연성 & 탄력성, 가장 흔함

힘줄, 인대, 뼈, 피부 진피 등

탄력 섬유

(elastic fiber)

신축성과 탄성이 매우 뛰어남

동맥벽, 피부, 폐

그물 섬유

(reticular fiber)

세망구조, 지지성, 미세섬유로 구성

림프절, 지라, 간, 기저막

Reference

• Histology: A Text and Atlas, Wolters Kluwer, 7th edition