마이노트

단축키 정보를 확인하세요!

[기종평19]

0

여기에 표시한 문제들은 마이노트에서 모아볼 수 있어요!

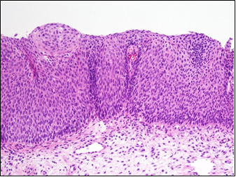
54세 여자가 건강검진의 자궁경부세포진 검사에서 비정형세포가 관찰되어 병원에 왔다. 질확대경검사에서 자궁 경부 1시 방향에 붉고 융기된 약 1 cm 크기의 병변이 보여 조직검사를 하였다. 현미경 소견이다. 원인은?

정답률 94%

누적 풀이 횟수 100+

평균 풀이 시간14초

/

나의 풀이 시간0

해설

[사람유두종바이러스, Human papillomavirus]

• 조직검사 결과는 미성숙 편평상피세포가 상피층 2/3 이상까지 확장한 고등급편평상피병터(High-grade SIL)를 시사한다. 이는 자궁경부암의 전단계로, 자궁경부에서의 지속적인 HPV 감염이 상피의 dysplasia를 유도한 상태이다.

• HPV는 자궁경부암과 100%에 가까운 연관성을 보인다.

오답 풀이

• 거대세포바이러스(Cytomegalovirus)는 주로 면역저하자에서 망막염, 폐렴, 장염 등을 유발한다.

• 엡스타인바바이러스(Epstein-Barr Virus)는 전염성 단핵구증, 비인두암, 버킷 림프종과 관련이 있다.

• 제2형 단순헤르페스바이러스(Herpes simplex type 2)는 주로 생식기의 수포성 궤양을 유발하지만, 자궁경부 이형성증과는 직접적인 관련이 없다.

• 람면역결핍바이러스(Human immunodeficiency virus)는 면역저하를 유발하여 HPV 감염의 지속성과 진행을 증가시킬 수 있으나, 자궁경부 병변의 직접적인 원인은 아니다.

관련 이론

• 기종평 이론: 자궁의 질환, Human papillomavirus

• 국시/임종평 이론: 자궁경부 상피내종양의 개요

Reference

• Robbins and Cotran, Pathologic Basis of Disease, 10e