마이노트

단축키 정보를 확인하세요!

[기종평20]

0

여기에 표시한 문제들은 마이노트에서 모아볼 수 있어요!

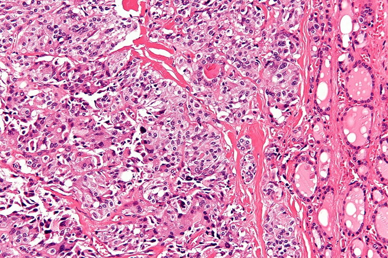
48세 여자가 건강검진에서 갑상샘에 1.5cm 크기의 결절이 발견되어 병원에 왔다. 갑상샘 세침흡인세포검사에서 세포질이 풍부한 다각형 내지 방추형의 종양 세포와 함께 아밀로이드가 관찰되었다. 관계있는 유전자는?

정답률 49%

누적 풀이 횟수 200+

평균 풀이 시간15초

/

나의 풀이 시간0

해설

[Medullary thyroid cancer, 수질암종]

• 수질암종은 갑상선의 부소세포 (parafollicular cell, C cell)에서 발생한 신경내분비 종양이다.

• 특징적으로 calcitonin과 CEA를 분비해 이 둘은 tumor marker로 사용된다.

• 림프절 전이와 원격 전이가 잦으며 갑상선암 중 aggressive한 유형이다.

• 수질암종의 20%는 유전으로 생기는데, familial carcinoma에서는 RET oncogene mutation이 중요한 예후 인자이다. 실제로 RET (+)인 경우 familial medullary cancer로 진단하고 5세 이전에 prophylactic thyroidectomy를 진행한다.

• 조직소견으로는 neuroendocrine tumor 답게 salt-and-pepper 패턴의 염색질이 관찰된다. 또한, 과도한 calcitonin 분비로 인해 아밀로이드로 침착된 섬유성 간질이 특징적으로 발견된다.

Medullary thyroid cancer, Wikipedia (Creative Commons License)

관련 이론

갑상선암

Reference

• Robbins and Cotran, Pathologic Basis of Disease, 10e