마이노트

단축키 정보를 확인하세요!

[기종평20]

0

여기에 표시한 문제들은 마이노트에서 모아볼 수 있어요!

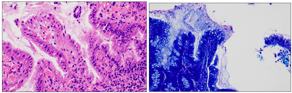
55세 남자가 속이 쓰려 위 내시경 검사를 받았다. 위 조직 검사의 H&E 염색 소견(왼쪽 사진)과 김자(Giemsa) 염색 소견(오른쪽 사진)이다. 진단은?

정답률 90%

누적 풀이 횟수 100+

평균 풀이 시간16초

/

나의 풀이 시간0

해설

[헬리코박터 위염]

• 위 내시경 검사 후 조직의 김자(Giemsa) 염색 소견에서 확인할 수 있는 세균은 헬리코박터 파일로리(Helicobacter pylori)이다.

• 김자 염색은 헬리코박터 파일로리의 존재를 확인하기 위한 특별한 염색법으로, 이 세균은 위염, 위궤양, 십이지장궤양, 그리고 위암과 연관성을 보인다.

오답 풀이

• 휘플병(Whipple`s disease): Tropheryma whipplei라는 그람양성 세균에 의해 발생하는 만성 전신 감염 질환으로, 장간막 림프절과 소장 점막에 침범하여 지방변, 복통, 체중 감소, 관절통 등을 유발한다.

• 소화기결핵은 결핵균이 위장관을 침범한 감염질환으로, 특징적으로 점막의 caseous granulomatous necrosis가 관찰된다.

• 호산구 위염은 위 점막과 점막하층에 호산구가 비정상적으로 침윤하여 발생하는 만성 염증성 질환이다. 음식 알레르기, 기생충 감염, 자가면역 질환 등이 원인으로 작용하며, 복통, 오심, 구토와 같은 위장관 증상을 유발한다. 조직검사에서 위 점막에 호산구 침윤과 점막 손상이 관찰되며, 혈액 호산구 증가와 IgE 상승이 흔하다.

• 자가면역성 위염은 벽세포(parietal cell)에 대한 자가항체에 의해 발생하며 악성 빈혈이 특징적으로 나타난다.

관련 이론

위염

Helicobacter pylori

Reference

• Robbins and Cotran, Pathologic Basis of Disease, 10e