마이노트

단축키 정보를 확인하세요!

[기종평20]

0

여기에 표시한 문제들은 마이노트에서 모아볼 수 있어요!

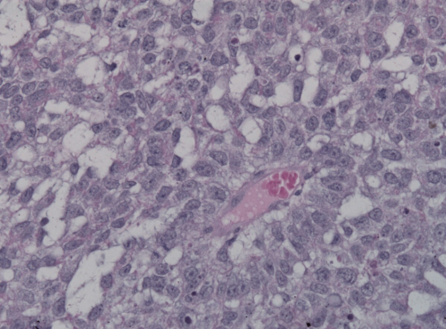
18세 여자가 2개월간 복부에 불편감이 있다며 병원에 왔다. 혈청 알파태아단백은 560 ng/mL이다. 영상검사에서 우측 난소에서 12 cm 크기의 덩이가 발견되어 우측 난소 절제술을 시행하였다. 덩이의 절단면은 매끄럽고 고형성 부분과 낭 구조가 함께 관찰되었으며 출혈이 많았다. 현미경 소견이다. 진단은?

정답률 82%

누적 풀이 횟수 100+

평균 풀이 시간20초

/

나의 풀이 시간0

해설

[난황낭종양, yolk sac tumor]

• 난소에서 발생하는 배아세포종양(germ cell tumor)의 분류는 다음과 같다:

Pathologic Basis of Disease, Robbins Pathology, 10th edition, pg 1024

• 이중 난황낭종양(endodermal sinus tumor = yolk sac tumor)는 어린 여성에서 호발하고 악성도가 높은 배아세포종양이다.

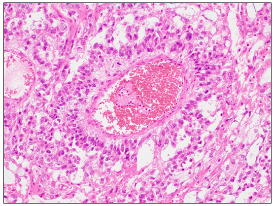
• 조직학적 소견으로는 germ cell이 혈관을 층층히 감싼 구조인 Schiller-Duval body가 특징적으로 관찰된다. 또한, 난황에서 기원하는 암이기에 높은 AFP 수치가 관찰된다.

Schiller-Duval body, Wikipedia Commons (Creative Commons License)

오답 풀이

• 융모막암종(choriocarcinoma)은 태반의 융모막 세포에서 발생하는 암으로, 임신성과 비임신성으로 나뉜다. 임신성보다 비임신성이 더욱 나쁜 예후를 가지며, 출혈성 괴사를 유발하고 동맥 혈관을 침범하여 급속히 다른 장기로 전이한다. 실제로 진단되었을 때는 이미 혈행성으로 전이된 경우가 많다. 조직학적으로는 영양 배엽 근층 내의 무질서한 과대증식, 융모막 소실 등이 관찰된다. hCG 수치가 매우 높게 검출된다.

Choriocarcinoma, Wikipedia (Creative Commons License)

• 기형종(teratoma)은 혼합종의 일종으로, 특정 장기의 발생 과정과 무관한 germ cell layer에서 유래한 조직이 발견되는 것이다. Mature/immature 여부는 기형종의 분화도의 정도에 따라 분류된다. Mature teratoma의 예시로는 난소에서 발견되는 머리카락, 치아 등이 있다.

Mature cystic teratoma, Wikipedia Commons (Creative Commons License)

• 배아암종(embryonal carcinoma)는 GCT 중 매우 드문 질환으로, 평균 발생 연령은 14세로 매우 젊다. 발생학적 단계 중 이른 단계에서 암이 발생해 AFP와 hCG를 모두 분비한다.

• 미분화생식세포종(dysgerminoma)는 난소에서 발생하는 가장 흔한 germ cell tumor으로, 10-30대 여성에서 주로 발생하며 GCT 중 유일하게 양측성으로 나타나기에 반대쪽 난소도 검사해아한다. 5-15cm의 큰 크기를 가지며, 종양 단면은 노란색 스펀지와 같은 양상을 보인다. 조직학적 소견으로는 투명한 세포질을 지닌 큰 종양세포와 중심부의 뚜렷한 핵소체, 그리고 염증세포의 침윤이 관찰된다. AFP와 hCG는 음성이다. 높은 LDH과 PLAP 수치가 관찰된다

Dysgerminoma, Wikipedia Commons (Creative Commons License)

관련 이론

• 기종평 이론: 생식세포종양

• 국시/임종평 이론: 생식세포종양

Reference

• Robbins and Cotran, Pathologic Basis of Disease, 10e