마이노트

단축키 정보를 확인하세요!

[기종평20]

0

여기에 표시한 문제들은 마이노트에서 모아볼 수 있어요!

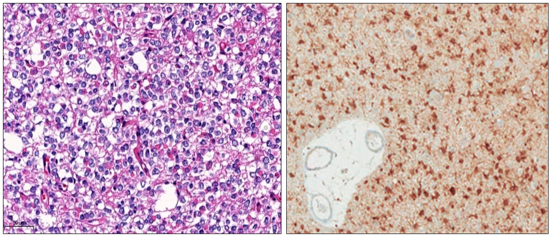
34세 여자가 뇌종양이 발견되어 절제하였다. 조직소견(왼쪽 사진)과 IDH1 면역조직화학염색 사진(오른쪽 사진)이다. 추가해야 할 검사는?

정답률 82%

누적 풀이 횟수 100+

평균 풀이 시간12초

/

나의 풀이 시간0

해설

[희소돌기아교세포종, Oligodendroglioma]

• 조직검사에서는 세포 내 크고 투명한 vacuole과 문합한 혈관들로 인해 나타나는 chicken-wire 소견이 관찰된다. 이는 oligodendroglioma를 시사한다.

• Oligodendroglioma에서는 IDH mut.과 1p/19q codeletion이 같이 관찰된다. 따라서 확진을 위해서 1p/19q codeletion 여부를 확인해야 한다.

관련 이론

뇌종양

Reference

• Robbins and Cotran, Pathologic Basis of Disease, 10e