마이노트

단축키 정보를 확인하세요!

[기종평21]

0

여기에 표시한 문제들은 마이노트에서 모아볼 수 있어요!

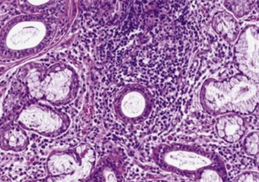
53세 여자가 1년 전부터 눈이 건조하고 입이 말라 음식을 삼키기 어렵다고 병원에 왔다. 침샘 조직검사 소견이다. 혈청에서 검출되는 자가항체는?

정답률 94%

누적 풀이 횟수 100+

평균 풀이 시간8초

/

나의 풀이 시간0

해설

[쇼그렌 증후군, Sjogren syndrome]

• 눈이 건조하고 입이 마르는 것은 쇼그렌 증후군(Sjogren syndrome)의 전형적인 증상이다.

• 쇼그렌 증후근은 침샘, 눈물샘 등을 비롯한 외분비샘에 림프구가 침윤해 만성 염증을 초래하는 질환으로, 환자는 침과 눈물이 감소되어 건조증상을 호소한다. 이 외로는 소화액 분비량의 감소로 인한 위염, 관절염, 광과민성과 같은 피부 증상이 나타날 수 있다.

•쇼그렌 증후군을 확진하기 위해서는 혈액검사에서 Anti SS-A와 Anti SS-B 항체가 특이적으로 검출되어야 한다.

오답 풀이

• 항 Smith 항체와 항DNA 항체는 SLE에서 특이도가 높은 항체이다.

• 항Scl70 항체는 Topoisomerase I 대한 자가항체로, 전신 경화증 중 미만성 형태와 연관된다.

• 항인지질항체는 항인지질항체증후군에서 높은 특이도를 가지는 항체이다.

관련 이론

쇼그렌증후군

Reference

• Robbins and Cotran, Pathologic Basis of Disease, 10e