[기종평21]
0
여기에 표시한 문제들은 마이노트에서 모아볼 수 있어요!
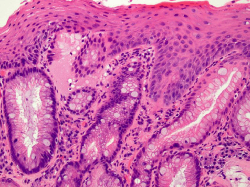
60세 남자가 6개월 전부터 발생한 속쓰림과 삼킴곤란으로 병원에 왔다. 상부내시경 검사에서 위식도이음부로부터 2 cm 떨어진 하부식도에 반점 모양의 선홍색 변화가 있다. 조직검사 소견이다. 추적관찰해야 하는 합병증은?
정답률 74%
누적 풀이 횟수 200+
평균 풀이 시간17초
/
나의 풀이 시간0초
해설
[Esophageal adenocarcinoma]
• 해당 환자에서는 지속된 위식도 역류로 인한 Barrett’s esophagus가 관찰된다. Barrett’s esophagus는 지속된 위식도 역류로 인해 esophagogastric junction에서 편평상피세포가 원주상피세포로 화생하며 생긴다.
• 증상으로는 속쓰림, 연하곤란 등이 나타난다. 밑의 사진에서 식도 점막의 빨간 부분이 화생이 일어난 부위이다.
• Barrett’s esophagus의 가장 중요한 합병증은 바로 식도선암 (esophageal adenocarcinoma)이다.

Barrett’s esophagus, Wikipedia Commons (Creative Commons License)
Tip
식도의 샘암종 (Adenocarcinoma) | 식도의 편평세포암종 (Squamous Cell Carcinoma) | |
|---|---|---|
발생 부위 | 주로 하부 식도와 식도-위 접합부(GE junction)에서 발생 | 주로 중부와 상부 식도에서 발생 |
발생 기전 | 바렛식도(Barrett’s esophagus)로 인한 장상피화생(intestinal metaplasia) | 흡연, 음주, 뜨거운 음료, 식도 협착, 방사선 노출 등이 원인 |
병리 소견 | 점액 분비 세포로 구성, 샘 구조(glandular pattern) | 편평상피 세포 증식과 keratin pearls & intercellular bridges |
관련 이론
• 식도암
Reference
• Robbins and Cotran, Pathologic Basis of Disease, 10e