[기종평21]
0
여기에 표시한 문제들은 마이노트에서 모아볼 수 있어요!
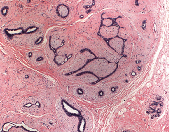
45세 여자가 3개월 전부터 유방에서 덩이가 만져져서 병원에 왔다. 수술로 절제된 유방 검체의 현미경 소견(A: HE염색 / B: E-cadherin 면역조직화학염색)이다. 진단은?
정답률 43%
누적 풀이 횟수 200+
평균 풀이 시간20초
/
나의 풀이 시간0초
해설
[침습소엽암종, invasive lobular carcinoma]
• 유방암의 가장 흔한 유형은 adenocarcinoma로, lobular carcinoma와 ductal carcinoma로 분류된다.
• Lobular carcinoma는 유방의 lobule에서 기원하는 암종으로, 조직학적으로는 작고 균일한 타원형의 세포들의 증식이 관찰되며 mucin을 함유하고 있는 signet ring 또한 관찰된다.
• Lobular carcinoma in situ와 invasive lobular carcinoma는 조직학적으로 구분하기 어렵다. 대신 E-cadherin의 결손 여부로 암세포의 침습성을 평가함으로써 구분을 짓는다. 해당 환자의 조직에서는 E-cadherin의 결손이 관찰됨으로 invasive lobular carcinoma임을 유추할 수 있다.
오답 풀이
• 섬유샘종(fibroadenoma)은 유방의 intralobular stromal tumor로, 경계가 뚜렷하고 표면이 매끈한 것이 육안적 소견이다. 조직소견으로는 선조직과 결합조직의 증식, 그리고 종양이 밀어내어 찌그려져 있는 유관 상피가 관찰된다. 케이스의 2/3에서 MED12 돌연변이가 관찰된다.

Pathologic Basis of Disease, Robbins Pathology, 10th edition, pg 1062
• 제자리관암종(ductal carcinoma in situ)은 유방암의 초기 단계로, epithelial cell이 유관 내에 증식했지만 아직 basement membrane을 넘어 주변 조직으로 침습하지 않은 상태를 의미한다. 미세석회화가 자주 관찰되며, 다양한 pattern으로 증식한다.
A: ductal system의 석회화
C: Cribriform pattern DCIS
D: Micropapillary pattern DCIS
Pathologic Basis of Disease, Robbins Pathology, 10th edition, pg 1054
• 침습관암종(invasive ductal carcinoma) DCIS가 basement membrane을 뚫고 주변 조직으로 침범한 형태이다.
관련 이론
• 유방 종양
Reference
• Robbins and Cotran, Pathologic Basis of Disease, 10e