간담췌-담도질환

/

75

/

75

39번

[임종평24-1]

0

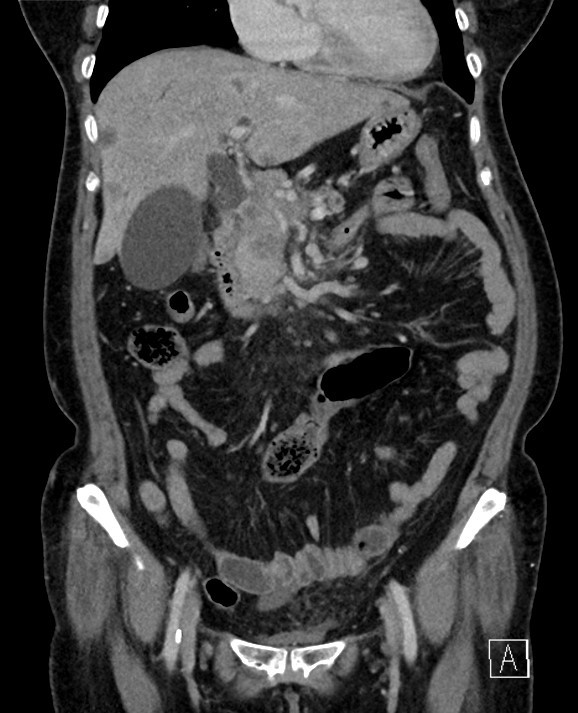
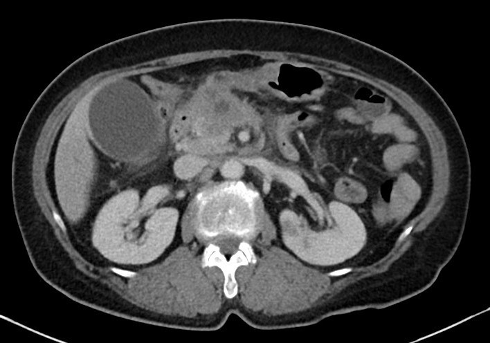
66세 남자가 3일 전부터 얼굴이 노래지고 소변색이 진해져서 응급실에 왔다. 최근 1개월간 몸무게가 9 kg 정도 빠졌다고 한다. 혈압 130/80 mmHg, 맥박 96회/분, 호흡 20회/분, 체온 36.3 ℃이다. 온몸과 공막이 노랗다. 배에 압통이나 반동압통은 없다. 이전 수술력은 없다고 한다. 혈액검사 결과는 다음과 같다. 복부 컴퓨터단층촬영 사진이다. 조치는?

백혈구 7,200/mm3, 혈색소 13.0 g/dL, 혈소판 161,000/mm3,

아스파트산아미노기전달효소 240 U/L, 알라닌아미노기전달효소 501 U/L,

알칼리성인산염분해효소 860 U/L, 알부민 4.0 g/dL,

총빌리루빈 20.4 mg/dL, 직접빌리루빈 18.5 mg/dL, 녹말분해효소 74 U/L, 지방분해효소 15 U/L

정답률 77%

누적 풀이 횟수 2,800+

평균 풀이 시간54초

/

나의 풀이 시간0

CC

M/66, 황달/소변색변화(3d)

Hx

S/Sx

체중감소(-9kg/1m)

V/S 130/80 96 20 36.3, icteric sclera/skin, dT/rT(-/-)

Lab

AST/ALT↑, ALP↑, T/D.bil↑

Img

CT: Distal CBD mass, upstream biliary dilatation, GB dilatation, multiple low-attenuating hepatic lesions

Etc

Imp: 원위부 담관암(distal cholangiocarcinoma)

해설

임상양상 및 CT 소견으로 보아 distal cholangiocarcinoma가 강력히 의심되며, 현재 정체된 담즙을 급하게 배액하기 위한 ERCP가 필요하다.

• 66세 남자가 3일 전 시작된 황달 및 소변색 변화를 주호소로 내원했다.

• 공막 황달이 있으므로 진성 황달이며, 온몸의 피부까지 황달이 보이므로 bilirubin 수치가 매우 높을 것임을 예상할 수 있다. 체중감소가 동반되었으므로 악성 질환에 의한 biliary obstruction을 가장 먼저 의심할 수 있다.

• Lab상 심한 direct hyperbilirubinemia가 확인되며, ALP 상승은 biliary obstruction을 시사한다. AST/ALT 상승은 biliary obstruction에 의한 2차적인 간손상에 의한 것으로 추정된다.

• CT상 distal CBD에 종양이 확인되며, 이보다 upstream하게 CBD와 GB가 늘어난 것이 보인다. 또한 간에 저음영 nodule이 몇 개 보이는데, 이는 distal cholangiocarcinoma의 간 전이를 시사한다.

• 따라서 본 환자의 cholangiocarcinoma는 unresectable할 가능성이 매우 높으며, 따라서 근치적 치료보다는 현재 가장 큰 문제인 biliary obstruction을 해소하기 위한 완화적 치료가 필요하다. 따라서 내시경역행담관조영(endoscopic retrograde cholangiopancreatography, ERCP)을 통해 stent 삽입 등을 이용한 배액을 시도해야 한다.

Tip

담관암 정리

위험요인

• PSC, 총담관낭, 간내담석증 등

임상양상

• 무통성 황달, 복부불편감, RUQ 복부덩이, 체중감소/피로 등

검사소견

• Bilirubin/ALP/GGT 상승, CEA/CA19-9 상승

진단

• CT, MRCP 등: 담관 mass + proximal bile duct dilatation

치료

• 간내담관암: 간절제술

• 간문부담관암: CBD + GB + 간 일부 + LN 절제술

• 원위부담관암: 췌십이지장절제술

• 황달: PTBD/ERBD/ENBD 등

오답 선지

• 응급개복수술: Biliary obstruction에 의해 cholangitis가 발생하고 이로 인해 복강 전체에 염증이 발생했다면 이를 고려해볼 수 있으나, 본 증례는 현재 이를 시사할 만한 양상을 나타내지 않는다.

• 어소데옥시콜산(ursodeoxycholic acid, UDCA): 담석 등의 치료에 일부 이용되기도 하지만, 본 증례와는 관련이 없다.

• 체외충격파쇄석(extracorporeal shockwave lithotripsy, ESWL): 주로 요로결석의 치료에 사용되는 시술이다.

• 피부경유 쓸개배액술(percutaneous transhepatic gallbladder drainage, PTGBD): 본 증례는 GB distension이 있으나, GB distension이 발생한 이유는 distal CBD의 obstruction이므로 이를 해소하기 위한 ERCP drainage가 더 적절한 정답이다.

관련 이론

담관암

Reference

• Harrison 21e, pp.653-656