43번
[임종평23-2]
0
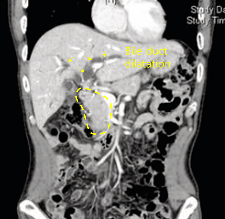
56세 남자가 2주 전부터 눈이 노래진다고 병원에 왔다. 소변색도 진해졌다고 한다. 당뇨병으로 경구혈당강하제를 복용 중이다. 혈압 113/96 mmHg, 맥박 68회/분, 호흡 18회/분, 체온 36.8℃이다. 공막에서 황달이 관찰되며 복부 진찰에서 압통과 반동압통은 없고 만져지는 덩이도 없다. 혈액검사 결과는 다음과 같다. 복부 컴퓨터단층촬영 사진과 복부 자기공명영상 사진이다. 진단은?
백혈구 6,300/mm3 (중성구 64.7%)
혈색소 11.2 g/dL, 혈소판 250,000/mm3
총빌리루빈 6.6 mg/dL
알칼리성인산염분해요소 897 U/L (참고치, 52~133)
아스파트산아미노기전달효소 180 U/L
알라닌아미노기전달효소 105 U/L
CA 19-9 189.8 U/mL (참고치, <37)


정답률 59%
누적 풀이 횟수 1,800+
평균 풀이 시간52초
/
나의 풀이 시간0초
CC | M/56, 황달(2w) |
Hx | DM on med |
S/Sx | 진한 소변색 V/S 113/96 68 18 36.8, icteric sclera, dT/rT(-/-) |
Lab | T.bil↑, ALP↑, AST/ALT↑, CA 19-9↑ |
Img | CT: Mass invading CBD and possibly CHD, with IHD dilatation MRCP: IHD dilatation, without definite visible confluence of RHD and LHD |
Etc |
Imp: 간문부 담관암(hilar cholangiocarcinoma, Klatskin tumor)
해설
Obstructive jaundice, CA 19-9 elevation, CT/MRCP상 확인되는 CHD obstruction이 있으므로 hilar cholangiocarcinoma의 가능성이 높다.
• 56세 남자가 2주 전 시작된 황달을 주호소로 내원했다.
• 공막 황달이 있으므로 진성 황달로 볼 수 있다. Hyperbilirubinemia도 확인된다.
• AST/ALT 상승이 있으며 ALP가 매우 높으므로 cholestatic pattern으로 볼 수 있고, CA 19-9 elevation이 있으므로 biliary obstruction을 일으킬 수 있는 악성 질환을 고려해야 한다.
• CT 및 MRCP상 intrahepatic bile duct가 dilatation되어 있으며, MRCP상 RHD와 LHD가 만나는 지점이 보이지 않으므로 CT상 확인되는 mass가 CHD를 침범했음을 알 수 있다. 즉, obstructive mass는 porta hepatis 주변에 있으며, 따라서 hilar cholangiocarcinoma의 가능성이 가장 높다.
Tip
담관암 정리 | |
위험요인 | • PSC, 총담관낭, 간내담석증 등 |
임상양상 | • 무통성 황달, 복부불편감, RUQ 복부덩이, 체중감소/피로 등 |
검사소견 | • Bilirubin/ALP/GGT 상승, CEA/CA19-9 상승 |
진단 | • CT, MRCP 등: 담관 mass + proximal bile duct dilatation |
치료 | • 간내담관암: 간절제술 • 간문부담관암: CBD + GB + 간 일부 + LN 절제술 • 원위부담관암: 췌십이지장절제술 • 황달: PTBD/ERBD/ENBD 등 |
오답 선지
• 췌장암: Pancreatic head cancer의 경우 CA 19-9 상승, biliary obstruction을 모두 일으킬 수 있지만, distal CBD obstruction을 유발하며 proximal CBD, CHD, IHD가 전부 dilatation되는 양상으로 확인될 것이다. 따라서 본 증례의 CT/MRCP 소견과는 맞지 않는다.
• 팽대부암(ampulla of Vater cancer): AoV cancer도 biliary obstruction을 일으킬 수 있지만, 이 또한 proximal CBD, CHD, IHD가 전부 dilatation되는 양상으로 확인될 것이다. 따라서 본 증례의 CT/MRCP 소견과는 맞지 않는다.
• 온쓸개관낭(choledochal cyst): Tumor marker 상승을 일으키는 경우는 많지 않으며, CT상 solid mass가 아니라 hypoattenuating cystic lesion의 형태로 나타난다.
• 온쓸개관협착(CBD stricture): 본 증례는 CBD보다 더 proximal한 곳의 obstruction이 MRCP상 확인되므로 단순 CBD stricture보다는 hilar cholangioarcinoma에 의한 biliary obstruction으로 보는 것이 더 타당하다.
관련 이론
• 담관암
Reference
• Harrison 21e, pp.653-656