45번
[임종평23-2]
0
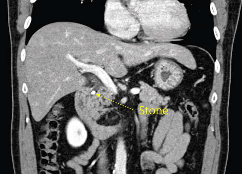
48세 남자가 5일 전부터 윗배가 아프고 열이 나서 응급실에 왔다. 평소 음주는 하지 않는다고 한다. 공막은 노랗고, 오른쪽 윗배에 압통이 있으나 반동압통은 없다. 혈압 123/95 mmHg, 맥박 100회/분, 호흡 20회/분, 체온 38.5℃ 이다. 혈액검사 결과는 다음과 같다. 복부 컴퓨터단층촬영 사진이다. 치료는?
백혈구 15,900/mm3, 혈색소 12.9 g/dL, 혈소판 160,000/mm3
아스파트산아미노기전달효소 285 U/L
알라닌아미노기전달효소 310 U/L
총빌리루빈 5.9 mg/dL, 직접빌리루빈 3.5 mg/dL
알칼리성인산염분해효소 486 U/L
감마글루타밀전달효소 518 U/L
녹말분해효소 80 U/L, 지방분해효소 68 U/L

정답률 88%
누적 풀이 횟수 1,500+
평균 풀이 시간45초
/
나의 풀이 시간0초
CC | M/48, 상복부통증/발열(5d) |
Hx | |
S/Sx | V/S 123/95 100 20 38.5, icteric sclera, RUQ dT/rT(+/-) |
Lab | WBC↑, AST/ALT↑, T.bil/D.bil↑, ALP/GGT↑ |
Img | CT: CBD stone, causing upstream biliary dilatation |
Etc |
Imp: 급성 담관염(acute cholangitis)
해설
CT상 CBD stone이 확인되며 Charcot’s triad가 확인되므로 acute cholangitis 진단 하, ERCP를 통한 CBD stone removal을 시행한다.
• 48세 남자가 5일 전 시작된 상복부 통증 및 발열을 주호소로 내원했다.
• RUQ dT, 공막 황달이 확인되므로 간담췌 질환을 의심해야 한다.
• Direct hyperbilirubinemia가 확인되며, ALP/GGT elevation이 있으므로 biliary obstruction이 의심된다. RUQ 통증, 발열, 황달은 acute cholangitis의 Charcot’s triad에 해당한다.
• Biliary obstruction의 원인 감별을 위해 CT 시행, radiopaque CBD stone이 확인되며 upstream biliary dilatation이 관찰된다.
• CBD stone cholangitis의 경우 endoscopic retrograde cholangiopancreatography(ERCP)를 통한 CBD stone removal이 주된 치료법이다.
Tip
급성 담관염 정리 | |
원인 | • 총담관담석(m/c), 종양, 총담관낭 등 |
임상양상 | • RUQ~상복부 통증, 발열, 황달 |
검사소견 | • WBC/CRP↑, bilirubin/ALP/GGT↑ |
진단 | • US/CT: Bile duct dilatation, stone이 보일 수도 있음 • MRCP/ERCP: Proximal bile duct dilatation, filling defect 등 |
치료 | • 담도 감압술 - ERCP(ERBD, ENBD) - 1st line (담석의 경우 + EST + stone removal) - PTC(PTBD) • 원인 치료: 총담관담석의 경우 담낭절제술, 종양의 경우 암 치료 등 • 항생제 및 기타 보존적 치료 |
오답 선지
• 온쓸개관절제술(CBD resection): Acute cholangitis의 치료로 거의 사용되지 않는다.
• 경구 담석용해제: 본 증례는 빠르게 biliary obstruction을 해소해주지 않으면 임상경과가 악화될 우려가 있으므로 약물로 담석이 용해되기를 기다리기보다는 적극적인 removal이 필요하다.
• 복강경쓸개절제술: CBD stone removal 후 biliary obstruction이 해소되고 환자가 stable해지면 CBD stone의 주된 원인인 GB의 수술적 절제를 고려할 수 있다.
• 체외충격파쇄석술(extracorporeal shockwave lithotripsy, ESWL): 주로 urinary stone에 대해 시행되는 시술이다. Gallstone에 대해서도 제한적으로 시행될 수 있으나 1st line은 아니다.
관련 이론
• 총담관담석증과 담관염
Reference
• Harrison 21e, pp.2649-2650