49번
[임종평23-1]
0
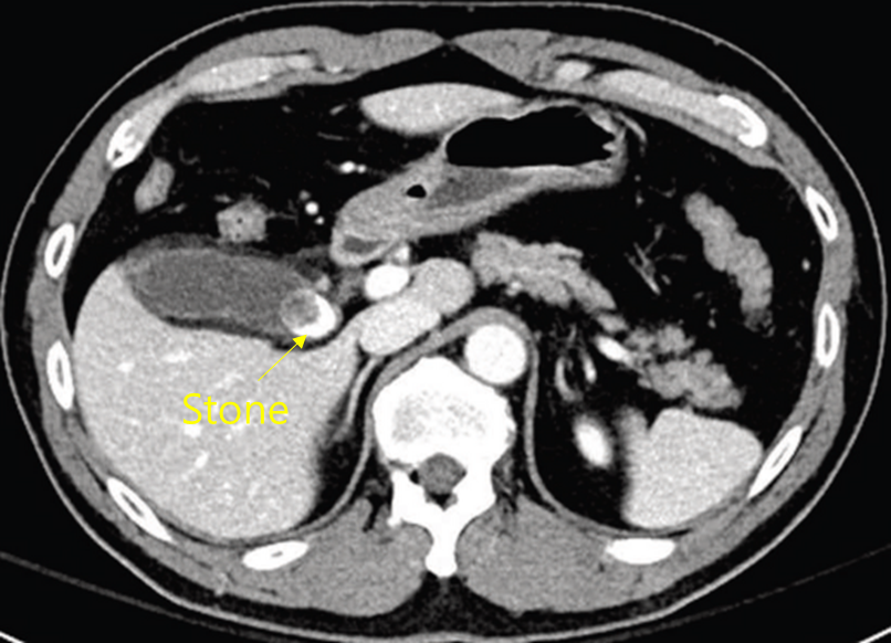
65세 여자가 하루 전부터 열이 나고 배가 아파 응급실에 왔다. 혈압 75/55 mmHg, 맥박 120회/분, 호흡 25회/분, 체온 39.1℃이다. 배 청진에서 장음은 감소하고 오른쪽 윗배에 압통이 있으나 반동압통은 없다. 오른쪽 윗배의 갈비뼈 아래 경계 부위를 가볍게 누른 상태에서 숨을 깊게 들이마시면 갑자기 통증이 유발되어 더 이상 숨을 들이마실 수 없다. 혈액검사 결과는 다음과 같다. 복부 컴퓨터단층촬영 사진이다. 치료는?
백혈구 19,200/mm3, 혈색소 11.0 g/dL, 혈소판 440,000/mm3
총빌리루빈 1.5 mg/dL, 직접빌리루빈 0.9 mg/dL
알부민 3.4 g/dL
아스파트산아미노기전달효소 310 U/L
알라닌아미노기전달효소 280 U/L
알칼리성인산염분해효소 170 U/L
감마글루타밀전달효소 150 U/L
녹말분해효소 45 U/L, 지방분해효소 21 U/L
C반응단백질 25 mg/L (참고치, <10)

정답률 49%
누적 풀이 횟수 1,900+
평균 풀이 시간44초
/
나의 풀이 시간0초
CC | F/65, 발열/복통(1d) |
Hx | |
S/Sx | V/S 75/55 120 25 39.1, 장음 감소, RUQ dT/rT(+/-), Murphy’s sign(+) |
Lab | WBC↑, AST/ALT↑, ALP/GGT↑, CRP↑ |
Img | CT: Large GB stone, with possible cystic duct obstruction |
Etc |
Imp: 급성 담낭염(acute cholecystitis), R/O 패혈성 쇼크(septic shock)
해설
급성 담낭염이 있으나 현재 septic shock이 의심되므로 우선 PTGBD를 시행 후 delayed cholecystectomy를 시행한다.
• 65세 여자가 1일 전 시작된 발열 및 복통을 주호소로 내원했다.
• 발열, 저혈압, 빈맥이 동반되었으므로 septic shock 상태로 추정된다. WBC, CRP가 상승하여 전신 염증반응이 있음을 알 수 있다.
• RUQ dT 및 Murphy’s sign이 있으므로 담낭염 등 간담도계 질환을 의심해야 한다. AST/ALT/ALP/GGT의 상승은 이를 뒷받침한다.
• CT상 GB 내부에 GB stone이 확인된다. GB stone으로 인해 acute cholecystitis가 발생하여 septic shock으로 이행되었음을 추정할 수 있다. 위치상 GB가 cystic duct로 이어지는 GB neck 근처에 stone이 있다고 보여지는데, 이 경우 단순 GB stone에서 cholecystitis로 이행될 가능성이 더 높다.
• Acute cholecystitis의 주된 치료는 cholecystectomy이다. 단, 본 환자는 V/S이 unstable한 septic shock 상태이므로 수술의 위험성이 높다. 비수술적 치료로 infection control 및 시간 벌기가 가능하다면 이를 시행하는 것이 더 적절하며, GB 내부의 infected bile drainage를 위해 피부간경유쓸개배액술(percutaneous transhepatic gallbladder drainage, PTGBD)을 시행해야 한다.
오답 선지
• 응급 쓸개절제술(emergency cholecystectomy): 본 증례에서 응급수술을 시행하기에는 큰 위험부담이 있으므로 비수술적 치료를 우선하는 것이 환자의 예후를 더 좋게 만들 수 있다.
• 체외충격파쇄석술(extracorporeal shock wave lithotripsy, ESWL): 요로결석에 대한 치료법이다.
• 내시경역행담췌관조영(endoscopic retrograde cholangiopancreatography, ERCP): CBD stone에 의한 acute cholangitis의 경우 ERCP를 통해 CBD stone을 제거하는 것이 좋다. 본 증례는 ALP/GGT elevation이 있지만 hyperbilirubinemia가 있고, CBD stone을 시사할 만한 영상학적 증거(CBD 내부의 stone, proximal bile duct dilatation 등)가 없으므로 부적절하다.
• 피부간경유쓸개길배액술(percutaneous transhepatic biliary drainage, PTBD): Biliary obstruction에 의해 proximal bile duct dilatation이 저명하며 이에 대한 biliary drainage가 필요할 때 시행하는 시술이다.
관련 이론
• 담낭염
Reference
• Harrison 21e, pp.2646-2648