간담췌-이자질환

/

69

/

69

1번

[MD25]

0

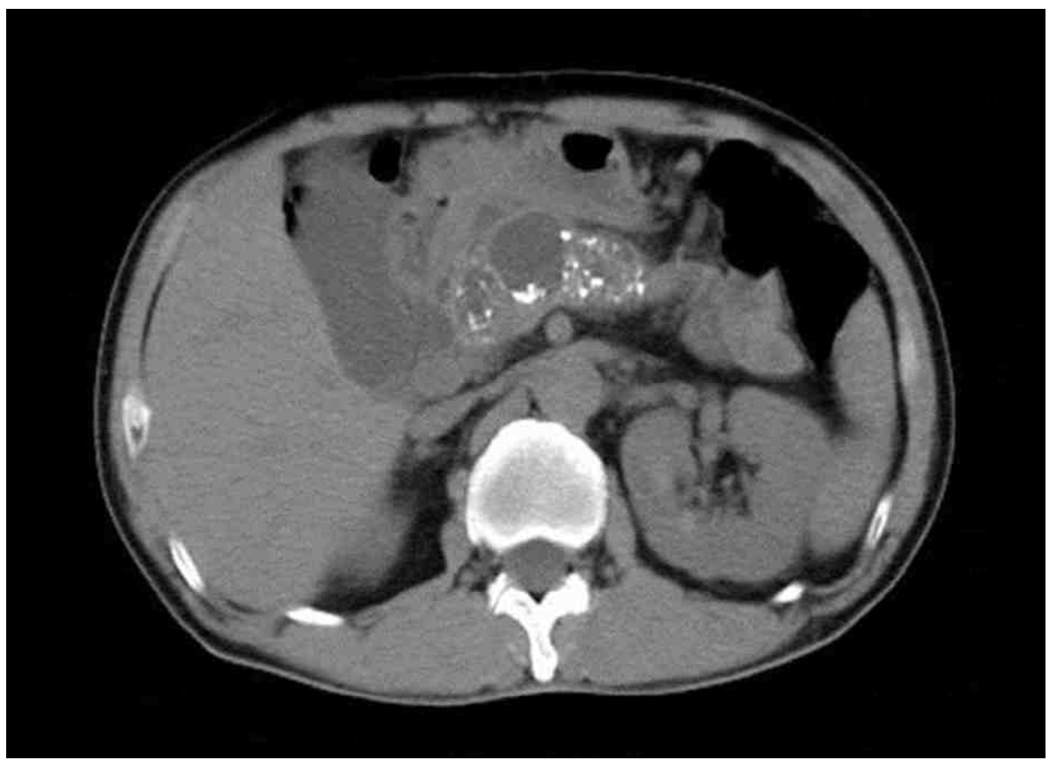
61세 남자가 2년 전부터 종종 윗배가 아프다고 병원에 왔다. 1개월 전부터 대변을 보면 변기물에 기름이 뜬다고 한다. 40갑•년의 흡연자이다. 30세 이후로 매일 소주 한 병을 마신다고 한다. 혈압 130/90 mmHg, 맥박 80회/분, 호흡 18회/분, 체온 36.7°C이다. 배 청진에서 장음은 약간 항진되어 들린다. 배에 압통과 반동압통은 없다. 혈액검사 결과는 다음과 같다. 복부 컴퓨터단층촬영 사진이다. 치료는?

혈색소 10.8 g/dL, 백혈구 9,800/mm³, 혈소판 232,000/mm³

혈액요소질소/크레아티닌 16.1/0.5 mg/dL

총빌리루빈 1.1 mg/dL

아스파트산아미노기전달효소 16 U/L

알라닌아미노기전효소 14 U/L

알칼리성인산염분해효소 160 U/L

녹말분해효소 61 U/L, 지방분해효소 56 U/L

정답률 90%

누적 풀이 횟수 2,100+

평균 풀이 시간28초

/

나의 풀이 시간0

CC

M/61, 상복부통증(2y)

Hx

흡연: 40갑년

음주: 소주 1병/day(30대부터 지속)

S/Sx

지방변(1m)

V/S 130/90 80 18 36.7, increased bowel sound, dT/rT(-/-)

Lab

Hb↓, ALP↑

Img

CT: Pancreatic calcification

Etc

Imp: 만성 췌장염(chronic pancreatitis)

해설

상복부 통증과 지방변을 호소하는 환자의 흡연력/음주력, CT상 pancreatic calcification을 종합하여 만성 췌장염 진단 하, 이에 대한 치료로 췌장효소제를 투여한다.

• 61세 남자가 2년 전부터 간헐적으로 발생하는 상복부 통증을 주호소로 내원하였다.

1개월 전부터는 대변을 볼 때 변기물에 기름이 뜨는 지방변 소견 또한 동반되었다. 상복부 통증 및 지방변 소견을 통해 간/담도계 및 췌장질환을 의심해 볼 수 있다. 환자의 장기간 흡연력, 음주력 또한 간/담도계 및 췌장질환의 가능성을 높인다.

• 혈액검사 결과 mild ALP elevation, Hb 감소 외 특이사항은 확인되지 않으나, 복부 CT상 pancreatic calcification이 저명하게 관찰되는데, 이는 만성 췌장염의 전형적인 영상소견 중 하나이다.

• 따라서, 임상증상 및 CT 소견을 종합할 때 만성 췌장염(chronic pancreatitis)로 진단 가능하다.

• 만성 췌장염에 대한 치료는 1) 통증에 대한 치료, 2) 췌장 기능부전에 대한 치료로 나누어 생각할 수 있다. 현재 환자는 상복부 통증 뿐 아니라 췌장효소 부족으로 인해 지방변 증상도 있으므로, 췌장효소제 투여가 필요하다.

Tip

만성 췌장염 정리

원인

• 알코올, 반복적인 급성 췌장염 등

임상양상

• 복통: 상복부, 등으로 방사통, 누우면 심해짐

• 설사, 지방변, 체중감소

검사소견

• 대변: Fecal elastase-1 감소, Sudan III에 붉은색으로 염색되는 fat droplet

• AXR/CT: Pancreas calcification

치료

• 진통제, 췌장효소제

오답 선지

• 항생제: 본 증례는 감염을 시사할 만한 소견(발열, leukocytosis)이 확인되지 않으므로 불필요하다.

• 담석용해제: 본 증례는 담석증이 의심되지 않으므로 불필요하다.

• 복강경수술: 만성 췌장염 환자에서 약물치료에도 불구하고 통증이 조절되지 않을 경우, pancreatic duct의 해부학적 상태에 따라 수술적 치료를 고려할 수 있다. 본 증례의 환자는 약물치료를 시행하지 않았으므로 약물치료를 우선적으로 시행하는 것이 적절하다.

• 내시경담도배액: 만성 췌장염으로 인해 담관이 압박되어 담즙정체가 발생할 경우 내시경담도배액을 고려할 수 있으나, 본 증례의 환자에게선 담관협착 및 담즙정체가 의심되지 않으므로 부적절하다.

관련 이론

만성 췌장염

Reference

Harrison 21e, pp.2664-2668

ACG guideline, 2020