25번
[MD20]
0
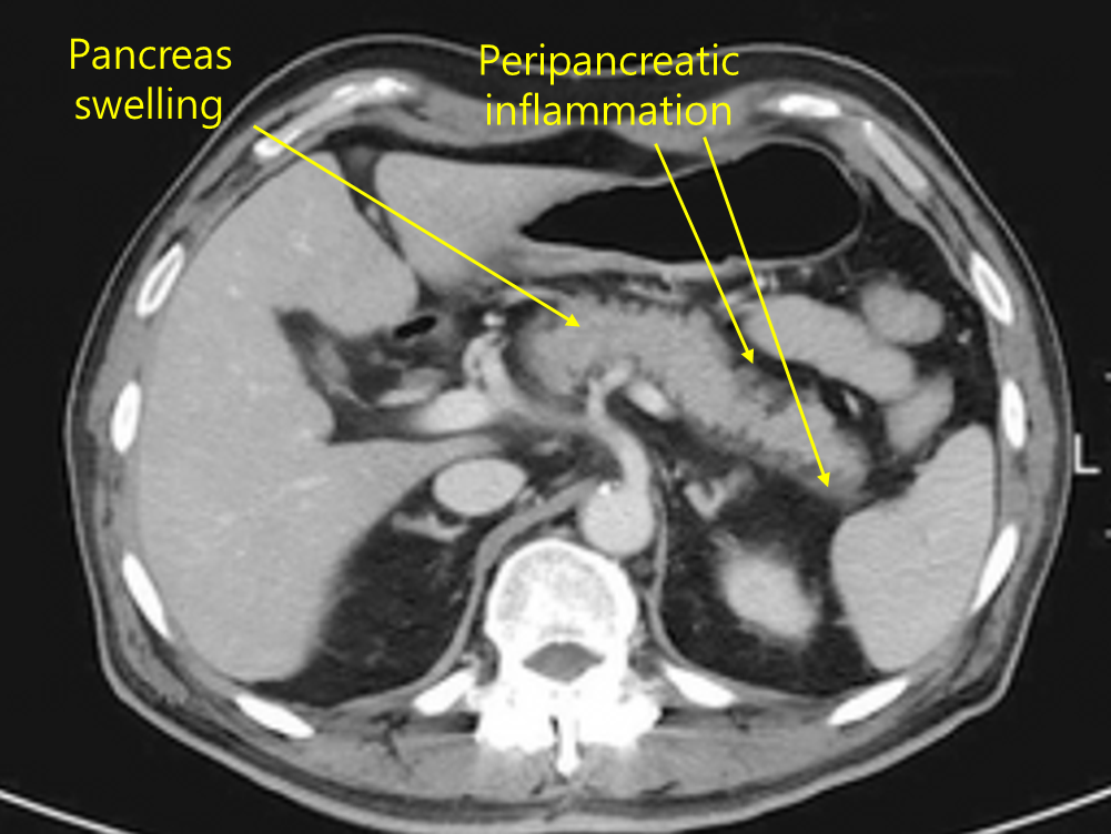
58세 남자가 2일 전부터 윗배가 아파서 병원에 왔다. 통증은 등으로 뻗치고 수 시간 지속되었으며, 등을 구부린 상태로 옆으로 누우면 나아진다고 한다. 혈압 100/70mmHg, 맥박 100회/분, 호흡 20회/분, 체온 37.8℃이다. 복부 청진에서 장음은 감소되어 들리고 배꼽주위 압통이 있다. 복부 컴퓨터단층촬영 사진이다. 진단은?

정답률 95%
누적 풀이 횟수 800+
평균 풀이 시간25초
/
나의 풀이 시간0초
CC | M/58, 윗배 통증(2d) |
Hx | 수 시간 지속, 등으로 방사되는 통증, 등을 구부리고 옆으로 누우면 완화 |
S/Sx | 장음 감소, 배꼽주위 압통 (+) V/S 100/70mmHg–100회/분–20회/분–37.8℃ |
Lab | |
Img | CT: 이자 주위 염증, fluid collection |
Etc |
Imp: 급성 췌장염
해설
수 시간 지속되고 등으로 방사되며, 몸을 구부리거나 옆으로 누우면 호전되는 통증은 급성 췌장염의 특징적인 양상이다. 복부 CT에서 췌장 주위 염증과 액체 저류 소견이 확인되므로 급성 췌장염을 진단할 수 있다.
Tip
급성 췌장염 정리 | |
원인 | • 담석(m/c), 알코올, 고중성지질혈증, 외상, ERCP등 |
임상양상 | • 복통: 상복부, 등으로 방사통, 누우면 심해짐 • 오심/구토, 미열, 빈맥/저혈압 등 |
검사소견 | • Amylase/lipase↑(정상상한치 3배 이상), WBC↑ |
진단 | • US: 담석, 담관확장 확인 • CT: 췌장 실질의 edema, 췌장 근처 조직의 inflammation |
치료 | • 수액 공급, 진통제(아편계), 금식 후 빠른 식이 재개 • 원인 치료: 담석에 황달 동반시 ERCP + EST + stone removal |
관련 이론
• 급성 췌장염
Reference
• Harrison 21e, pp.2658-2663