29번
[MD18]
0
46세 남자가 2일 전부터 윗배가 아프다고 병원에 왔다. 메스꺼움도 심하고 구토를 여러 차례 했다. 5년간 거의 매일 소주 2병씩을 마셨다고 한다. 혈압 100/70mmHg, 맥박 100회/분, 호흡 20회/분, 체온 36.9℃이다. 복부 청진에서 장음은 감소되어 있었다. 배꼽 주변 윗배에 압통이 있으나 반동압통은 없다. 혈액 검사 결과는 다음과 같다. 복부 컴퓨터단층촬영 사진이다. 치료는?
아스파르테이트아미노전달효소 258U/L, 알라닌아미노전달효소 139U/L, 알칼리인산분해효소 348U/L, 아밀라아제 610U/L, 리파아제 860U/L

정답률 95%
누적 풀이 횟수 700+
평균 풀이 시간25초
/
나의 풀이 시간0초
CC | M/46, 상복부 통증(2d) |
Hx | 오심, 구토, 음주력 5년간 소주 2병/일 |
S/Sx | 장음 감소, 배꼽 주변 윗배 압통 (+), 반동압통 (-) V/S 100/70mmHg–100회/분–20회/분–36.9℃ |
Lab | AST/ALT↑, ALP↑, Amylase↑, Lipase↑ |
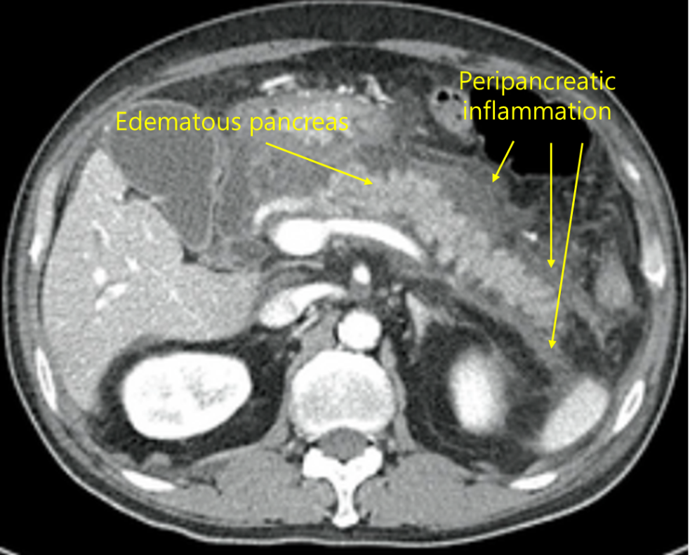
Img | CT: 췌장 종대 및 췌장 주위 fluid collection |
Etc |
Imp: 급성 췌장염
해설
급성 상복부 통증, 오심, 구토, 심한 음주력, 혈액검사 상 amylase, lipase의 상승, 복부 CT 상 췌장 주위의 fluid collection으로부터 급성 췌장염을 진단할 수 있다. 급성 췌장염의 치료는 수액 공급, 진통제 등 보존적 치료가 우선이다.
Tip
급성 췌장염 정리 | |
원인 | • 담석(m/c), 알코올, 고중성지질혈증, 외상, ERCP등 |
임상양상 | • 복통: 상복부, 등으로 방사통, 누우면 심해짐 • 오심/구토, 미열, 빈맥/저혈압 등 |
검사소견 | • Amylase/lipase↑(정상상한치 3배 이상), WBC↑ |
진단 | • US: 담석, 담관확장 확인 • CT: 췌장 실질의 edema, 췌장 근처 조직의 inflammation |
치료 | • 수액 공급, 진통제(아편계), 금식 후 빠른 식이 재개 • 원인 치료: 담석에 황달 동반시 ERCP + EST + stone removal |
오답 선지
• 이자효소제제는 만성 췌장염의 치료로, 급성 췌장염에서는 근거가 명확하지 않다.
관련 이론
• 급성 췌장염
참고문헌
• Harrison 21e, pp.2658-2663