간담췌-이자질환

/

69

/

69

3번

[MD25]

0

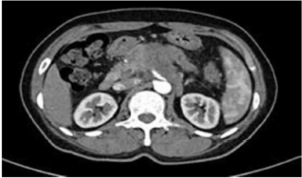
65세 남자가 1주 전부터 배꼽 주위에서 딱딱한 덩이가 만져진다고 병원에 왔다. 1개월간 몸무게가 70 kg에서 65 kg으로 줄었다고 한다. 20갑•년 흡연자이다. 25년간 소주 1병씩을 주 3~4회 마신다고 한다. 혈압 110/70 mmHg, 맥박 92회/분, 호흡 18회/분, 체온 36.6℃이다. 배에 가벼운 압통이 있고 반동압통은 없다. 혈액검사 결과는 다음과 같다. 복부 컴퓨터단층촬영 사진이다. 진단은?

혈색소 12.5 g/dL, 백혈구 9,500/mm³, 혈소판 120,000/mm³

혈액요소질소/크레아티닌 11.5/0.8 mg/dL

총단백질/알부민 6.3/3.3 g/dL

총빌리루빈 1.1 mg/dL

아스파트산아미노기전달효소 60 U/L

알라닌아미노기전달효소 50 U/L

녹말분해효소 220 U/L, 지방분해효소 80 U/L

정답률 90%

누적 풀이 횟수 2,100+

평균 풀이 시간41초

/

나의 풀이 시간0

CC

M/65, 복부덩이(1w, 배꼽주위)

Hx

흡연: 20갑년

음주: 소주 1병/day, 주 3-4회(25y)

S/Sx

체중감소(-5kg/1개월)

V/S 110/70 92 18 36.6, dT/rT(+/-)

Lab

Hb↓, PLT↓, albumin↓, AST/ALT↑, amy/lipa↑

Img

CT: Hypoattenuating mass in pancreatic body

Etc

Imp: 췌장암(pancreatic cancer)

해설

20갑년의 흡연력이 있는 환자에게서 복부 덩이 및 급격한 체중감소 소견과 함께, 복부 CT상 pancreatic mass가 확인되므로 췌장암이 가장 의심된다.

• 65세 남자가 1주일 전부터 배꼽 주위에서 딱딱한 덩이가 만져져서 내원했다.

1개월 간 5kg의 체중감소가 있었으므로 악성 종양이 의심된다.

• 원인 확인을 위해 시행한 복부 CT상 pancreas body 부위에서 hypoattenuating mass가 관찰된다.

• 환자의 임상증상, 흡연력, 복부CT 소견을 종합할 때 췌장암(pancreatic cacner)이 가장 의심된다.

Tip

췌장암 정리

위험요인

• 고령, 흡연, 만성 췌장염 등

임상양상

• 복통, 체중감소, 황달

검사소견

• CA 19-9 상승, Bilirubin/ALP/GGT 상승 가능

진단

• CT: Pancreatic mass, pancreatic duct dilatation(head cancer의 경우)

• MRCP: Double-duct sign(head cancer의 경우)

치료

• 수술 가능 + head: 췌십이지장절제술

• 수술 가능 + body/tail: 원위부췌장절제술

• 수술 불가능: 전신 CTx

• 고식적 치료(황달시 ERBD/PTBD 등)

오답 선지

• 만성췌장염: 복부 CT상 pancreatic calcification 소견이 주로 관찰된다.

• 췌장거짓낭: 급성 췌장염의 합병증으로 주로 발생하며, 복부 CT상 염증성 섬유조직으로 된 벽으로 둘러싸인 cyst가 확인된다.

• 췌장장액낭: 복부 CT상 honeycombing appearance, central/stellate scar 등의 소견이 주로 관찰된다.

• 췌관내유두점액신생물: 주췌관(main pancreatic duct)에 발생할 경우 주췌관 확장 확인되며, 췌관 가지(branch duct)에 발생할 경우 다수의 확장된 branch duct들이 관찰된다. 본 증례의 CT는 IPMN CT소견에 부합하지 않는다.

관련 이론

췌장암

Reference

Harrison 21e, pp.657-662

한국간담췌외과학회 가이드라인, 2021