8번
[MD24]
0
42세 남자가 1일 전부터 윗배가 아파서 병원에 왔다. 10년간 거의 매일 술을 마시고 최근 1주간 매일 소주를 3병 이상 마셨다고 한다. 혈압 110/70 mmHg, 맥박 86회/분, 호흡 18회/분, 체온 37.0°C이다. 배 청진에서 장음은 감소되어 들린다. 윗배에 압통이 있다. 혈액검사 결과는 다음과 같다. 복부 컴퓨터단층촬영 사진이다. 진단은?
혈색소 10.4 g/dL, 백혈구 5,600/mm3, 혈소판 270,000/mm3
총단백질 6.9 g/dL, 알부민 3.6 g/dL
총빌리루빈 0.8 mg/dL
아스파트산아미노기전달효소 182 U/L
알라닌아미노기전달효소 63 U/L
알칼리성인산염분해효소 110 U/L
녹말분해효소 260 U/mL, 지방분해효소 480 U/mL

정답률 99%
누적 풀이 횟수 1,900+
평균 풀이 시간32초
/
나의 풀이 시간0초
CC | M/42, 상복부통증(1d) |
Hx | 음주: 매일(10y) → 소주 3병/d(1w) |
S/Sx | V/S 110/70 86 18 37.0, epigastric dT(+) |
Lab | Hb↓, AST/ALT↑, amy/lipa↑ |
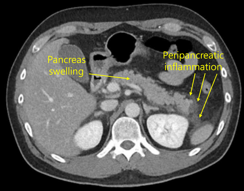
Img | CT: Pancreas swelling with peripancreatic fluid collection |
Etc |
Imp: 급성 췌장염(acute pancreatitis)
해설
Epigastric pain, amylase/lipase elevation, CT상 확인되는 edematous pancreas 및 peripancreatic fluid collection으로 보아 acute pancreatitis로 진단한다.
• 42세 남자가 1일 전 시작된 상복부 통증을 주호소로 내원했다.
• Epigastric dT가 확인되며, chronic alcoholic이므로 간염, 췌장염 등의 질환을 고려해야 한다.
• Amylase/lipase elevation이 정상상한치의 3배 이상인지는 명확하지 않으나, epigatric pain과 CT상 acute pancreatitis 양상을 보이므로 acute pancreatitis로 진단할 수 있다.
• 원인은 음주로 추정된다. AST/ALT elevation도 있으며 CT상 간이 매우 정상 간실질에 비해 매우 어둡게 조영되므로 alcoholic fatty liver, r/o alcoholic hepatitis도 동반되었음을 알 수 있다.
• 따라서 보기 중 acute pancreatitis로 진단한다.
Tip
급성 췌장염 정리 | |
원인 | • 담석(m/c), 알코올, 고중성지질혈증, 외상, ERCP등 |
임상양상 | • 복통: 상복부, 등으로 방사통, 누우면 심해짐 • 오심/구토, 미열, 빈맥/저혈압 등 |
검사소견 | • Amylase/lipase↑(정상상한치 3배 이상), WBC↑ |
진단 | • US: 담석, 담관확장 확인 • CT: 췌장 실질의 edema, 췌장 근처 조직의 inflammation |
치료 | • 수액 공급, 진통제(아편계), 금식 후 빠른 식이 재개 • 원인 치료: 담석에 황달 동반시 ERCP + EST + stone removal |
오답 선지
• 급성충수염(acute appendicitis): 초기에 epigastric pain도 나타날 수 있으나 주로 RLQ pain의 양상으로 나타나며, CT상 appendiceal swelling 및 wall thickening이 확인되어야 한다.
• 급성위장관염(acute gastroenteritis, AGE): 본 증례는 acute pancreatitis의 진단기준을 만족시키므로 단순 AGE로 진단할 수 없다.
• 급성겹주머니염(acute diverticulitis): CT상 colon wall 밖으로 돌출된 diverticulum 및 해당 부위의 염증이 확인되어야 한다.
• 급성장간막지방층염(acute panniculitis): CT상 mesentery 주변부의 haziness가 확인되며, acute pancreatitis 등의 질환들이 배제된 이후에 고려하는 것이 적절하다.
관련 이론
• 급성 췌장염
Reference
• Harrison 21e, pp.2658-2663