위 식도 샘창자

/

37

/

37

1번

[MD25]

0

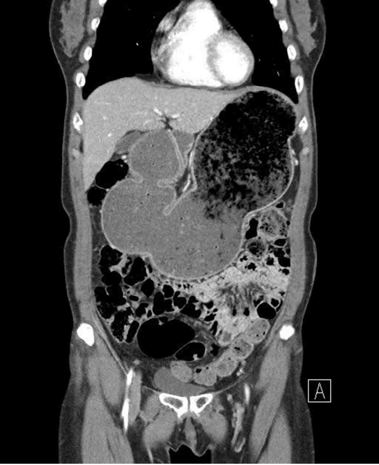
53세 여자가 1주 전부터 토해서 병원에 왔다. 3개월 전부터 소화가 잘되지 않고 속이 더부룩하였으며, 밥을 먹으면 증상이 더 심해져서 죽이나 미음을 먹었다고 한다. 2년 전 위궤양으로 진단받고 약물 복용하다가 자의로 중단하였다. 혈압 120/80 mmHg, 맥박 70회/분, 호흡 18회/분, 체온 36.7℃이다. 윗배가 불러있고 압통과 반동압통은 없다. 위내시경 사진과 복부 컴퓨터단층촬영 사진이다. 검사 결과는 다음과 같다. 치료는?

혈액:

혈색소 10.2 g/dL, 백혈구 6,400/mm³, 혈소판 178,000/mm³

Na⁺/K⁺ 144/4.3 meq/L

위내시경 조직검사:

만성위염

정답률 78%

누적 풀이 횟수 2,200+

평균 풀이 시간51초

/

나의 풀이 시간0

CC

F/53, 구토(1w)

Hx

2년 전: Gastric ulcer, 약물 자의 중단

S/Sx

소화불량/복부팽만감(3m), 식후 증상 악화 → 죽, 미음 섭취

V/S 120/80 70 18 36.7, upper abdominal distension

Lab

Hb↓

Img

CT: Pyloric stenosis with proximal gastric distension

Etc

EGD: Chronic gastritis, pyloric stricture

Imp: 만성 위염(chronic gastritis), 협착(stricture)

해설

유문부 협착으로 인한 gastric distension 환자의 치료로 위공장연결을 시행한다.

• 53세 여자가 1주 전부터 시작된 구토를 주호소로 내원하였다.

• 3개월 전부터 소화불량이 있었고, 증상은 밥을 먹으면 악화하는 양상으로 위를 포함한 상부 위장관의 이상으로 추정된다. 특히 2년 전 위궤양 진단 후 약물 치료를 중단하였으므로 위궤양의 합병증을 강하게 의심해보아야 한다.

• 신체진찰에서 상복부의 팽만이 관찰되며 복부 CT에서 유문부 협착과 이로 인한 proximal distension이 확인된다. EGD에서도 동일한 협착 소견을 확인하였으므로, 위궤양의 합병증으로 협착이 발생하여 증상이 발생한 것으로 판단된다.

• 유문부 협착이 발생한 경우 보존적 치료가 불가능할 경우 시술/수술적 치료를 고려하여야 한다. 그중 풍선 확장술, 위십이지장연결, 위공장연결 등을 시행할 수 있으며, 선택지에서는 위공장연결이 이에 해당한다.

오답 선지

• 피부경유내시경위창냄술: 입으로 음식을 섭취할 수 없는 환자에서 장기 영양공급을 위한 위루관을 설치하기 위해 시행한다.

• 내시경점막절제: 조기위암에 대해 시행한다.

• 소매위절제: 비만대사수술에 사용되는 술식이다.

• 전체위절제: 절제 가능한 위암 중 proximal 1/3 부위에 병변이 위치한 경우 시행한다.

관련 이론

상부위장관 양성질환

Reference

Sabiston 21e, pp.1056-1076, 1205-1217, 1236-1237