37번
[임종평19-2]
0
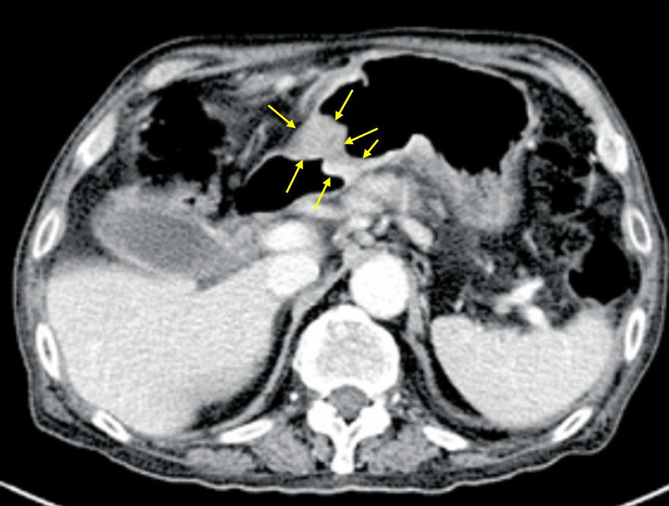
79세 남자가 2개월 전부터 변이 검게 나오고 소화가 잘 되지 않는다며 병원에 왔다. 평소 신물이 올라와 위장약을 6개월 동안 복용하였다. 최근 3개월 동안 체중이 6kg 감소되었다. 혈압 110/75mmHg, 맥박 90회/분, 호흡 20회/분, 체온 36.8℃이다. 결막이 창백하다. 장음은 정상이며, 오른쪽 윗배에 압통은 약하게 있으나 반동압통은 없다. 혈액검사 결과는 다음과 같다. 식도위내시경 사진과 복부 컴퓨터단층촬영 사진이다. 치료는?
백혈구 5,900/mm3, 혈색소 7.4 g/dL, 혈소판 250,000/mm3, 알부민 3.0 g/dL, 총빌리루빈 0.7mg/dL


정답률 63%
누적 풀이 횟수 600+
평균 풀이 시간57초
/
나의 풀이 시간0초
CC | M/79, 흑색변 및 소화불량(2mo) |
Hx | 신물이 올라와 위장약 6개월동안 복용, 체중감소 (6kg/3mo) |
S/Sx | 결막 창백, 장음 정상, 오른쪽 윗배 DT/RT (+/-) |
Lab | Hb↓ |
Img | EGD: 위의 distal part 위암, 음식물 Abdomen CT: Gastric outlet 부위 cancer |
Etc |
Imp: 위암(gastric cancer)
해설
임상양상 및 EGD 소견으로 보아 위암 의심 하, CT상 distant metastasis가 저명하지 않으므로 resectable하다고 판단, antrum~pylorus에 종양이 위치하므로 subtotal gastrectomy를 시행한다.
• 3개월간 6kg의 체중감소와 2개월전부터 흑색변 및 소화불량이 생긴 79세 남환이다.
• 급격한 체중감소와 고령에서의 상부위장관 출혈은 malignancy시사하며, 임상양상 종합했을 때 EGD와 CT상 위의 distal part에 위암으로 보이는 mass가 관찰된다. 원격전이는 관찰되지 않으므로 수술 가능하며 distal part의 위암은 distal gastrectomy(≒ subtotal gastrectomy)을 시행한다.
Tip
위암 정리 | |
임상양상 | • 체중감소, 복통, 속쓰림, 토혈 • 구토, 복부팽만 등 • Lt. supraclavicular LN 촉진, 복수 등 → 전이 시사 |
진단 | • 위암 확인: EGD + biopsy • 병기 설정: CT + EUS (+ PET-CT) |
치료 | • ESD: Mucosa 국한, ≤ 2cm, 고~중등도 분화 등 • 수술: ESD 시행 불가 & 원격전이/혈관침범 없음 - Distal 2/3: Distal gastrectomy - Proximal 1/3: Total gastrectomy - Neoadjuvant or adjuvant CTx 대부분 시행 • 고식적 치료: 폐쇄시 stent 삽입 |
관련 이론
• 위암의 외과적 접근
Reference
• Sabiston 21e, pp.1219-1233