외과적 합병증

/

56

/

56

2번

[MD25]

0

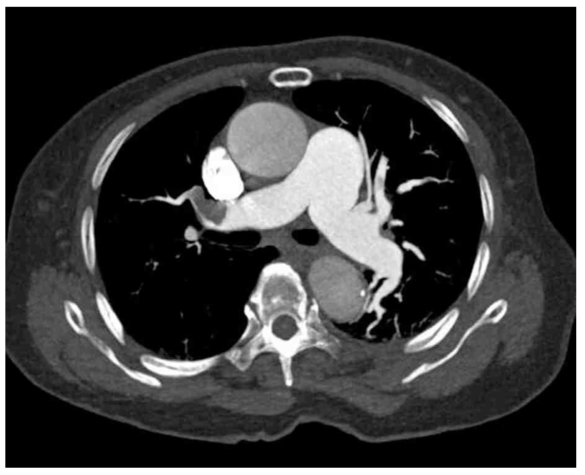
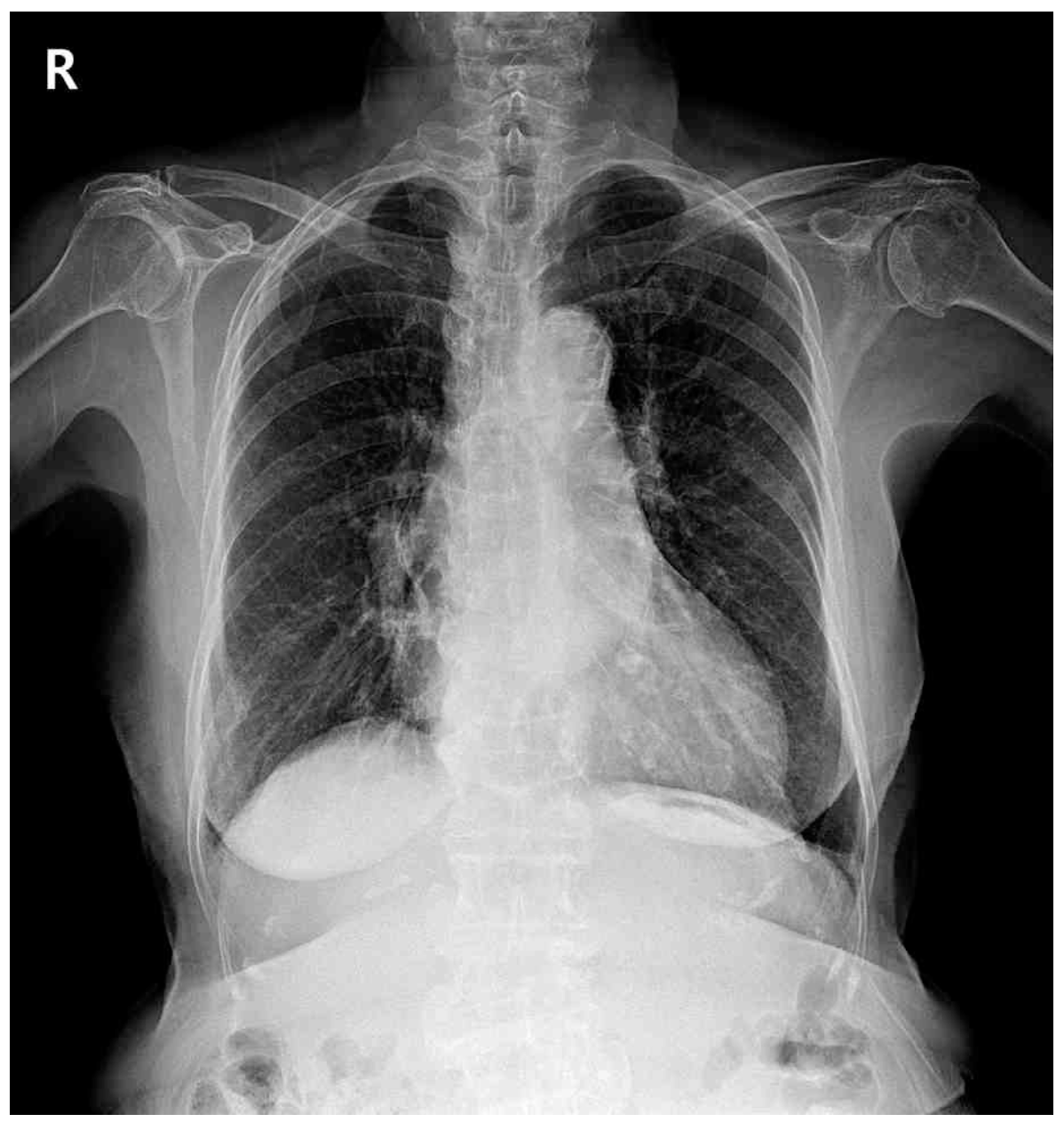
70세 여자가 직장암으로 저위전방절제를 받고 입원 중이다. 수술 후 2일째 가슴이 답답하다고 한다. 혈압 90/65 mmHg, 맥박 105/분, 호흡 28회/분, 체온 36.8°C이다. 양측 폐의 호흡음은 정상이며, 배는 수술부위 통증 외에 특별한 이상은 없다. 검사 결과는 다음과 같다. 가슴 X선사진과 가슴 컴퓨터단층촬영 사진이다. 진단은?

혈액:

혈색소 11.2 g/dL, 백혈구 8,800/mm3, 혈소판 243,000/mm3

C반응단백질 112 mg/L (참고치, <10)

크레아틴인산화효소 100 U/L (참고치, <170)

크레아틴인산화효소 MB동종효소 1.55 ng/mL (참고치, <3.61)

트로포닌 | 0.16 ug/L (참고치, <0.3)

동맥혈기체(대기호흡): pH 7.48, PaCO2 33 mmHg

PaO2 50 mmHg

HCО3- 23.0 mmol/L

정답률 95%

누적 풀이 횟수 2,200+

평균 풀이 시간33초

/

나의 풀이 시간0

CC

F/70, 흉부불편감

Hx

2일 전: Rectal cancer s/p LAR

S/Sx

V/S 90/65 105 28 36.8

Lab

CRP↑

ABGA: pH↑, PaCO2↓, PaO2

Img

CXR: No remarkable findings

CT: Rt. pulmonary artery thrombosis

Etc

Imp: 폐색전증(pulmonary thromboembolism, PTE)

해설

수술 후 급성 호흡곤란을 호소하는 환자에서 흉부 CT상 폐동맥 혈전이 확인되므로 폐색전증을 진단할 수 있다.

• 70세 여자가 수술 후 2일째 가슴 불편감을 호소하였다.

• 환자는 2일 전 직장암으로 저위전방절제술을 받았으므로 수술 후 합병증의 가능성을 고려해야 한다. 수술 후 주로 침상 안정 상태였을 가능성이 높아 혈전 생성 위험이 증가한 상태이며, 수술력이나 외상성 골절의 병력이 있는 환자에서 호흡곤란이 발생하는 경우 반드시 폐색전증을 의심해보아야 한다.

• 현재 혈역학적으로 불안정한 상태이며 ABGA에서 PaO2 50 mmHg으로 저산소증이 확인되었으나, 이외에는 mild respiratory alkalosis 정도만 관찰되었다.

• 수술 후 침상 안정 상태였던 환자가 혈역학적 불안정성을 동반한 급성 호흡곤란을 보였으며, 심장성, 호흡기, 감염성 원인을 시사하는 소견이 확인되지 않았다. 이에 따라 폐색전증 의심하 조영증강 컴퓨터단층촬영을 시행하였다.

• 폐색전증의 확진은 가슴 컴퓨터단층촬영을 통해 진행하며, 우측 폐동맥혈전이 저명하게 관찰되므로 폐색전증을 진단할 수 있다.

오답 선지

• 폐렴: 발열, 백혈구 증가 등 감염을 시사하는 소견과 기침, 가래 등 호흡기 증상이 나타난다.

• 무기폐: 발열과 함께 CXR상 무기폐로 의심되는 소견이 확인되어야 하나 해당 증례에서는 확인할 수 없다.

• 가슴막삼출: 삼출 부위 호흡음 감소 및 CXR상 CPA blunting이 관찰된다.

• 대동맥박리: 특징적인 찢어지는 듯한 극심한 흉통과 mediastinal widening이 CXR에서 확인된다.

관련 이론

기타 외과적 합병증

폐색전증

Reference

Sabiston 21e, pp.80-83, 246-252, 256-259, 1834-1841