폐렴

/

38

/

38

3번

[MD24]

0

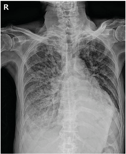
87세 남자가 3일 전부터 기침과 가래가 나온다며 병원에 왔다. 고혈압과 알레르기비염으로 치료를 받고 있다. 5일 전부터 몸살과 콧물이 있으며 식욕이 없고 누워만 있었다고 한다. 50갑·년의 과거 흡연자이다. 혈압 110/70mmHg, 맥박 84회/분, 호흡 24회/분, 체온 37.3℃이다. 의식은 명료하고, 오른쪽 가슴에서 거품소리가 들린다. 가슴 X선 사진이다. 맥박산소포화도는 84%이고 검사 결과는 다음과 같다. 조치는?

혈액: 혈색소 10.1g/dL, 백혈구 23,000/mm3(중성구 81%, 림프구 12%), 혈소판 271,000/mm3

동맥혈기체(대기호흡): pH 7.42, PaCO2 36mmHg, PaO2 56mmHg

정답률 91%

누적 풀이 횟수 2,000+

평균 풀이 시간44초

/

나의 풀이 시간0

CC

M/87, 기침 및 가래

Hx

HTN, allergic rhinitis on med

과거 흡연 50PY

S/Sx

몸살, 콧물, 전신 쇠약감(5일 전)

V/S 110/70 84 24 37.3, SpO2 84%

Lab

WBC↑, ABGA: PaO₂ ↓

Img

CXR: diffuse opacities, RLLF

Etc

Imp: 폐렴(Pneumonia)

해설

폐렴 환자의 저산소증 교정을 위해 코삽입관으로 산소치료를 시행한다.

• 87세 남자가 3일 전부터 시작된 기침과 가래를 주호소로 내원하였다.

• 5일 전부터 급성 병색으로 몸살, 쇠약감 등 전신 증상과 상기도 증상이 발현되었으므로 호흡기계 감염 질환을 의심해보아야 한다. 장기간 흡연력 역시 감염 위험을 높이는 인자이다.

• 신체 진찰상 발열, 빈호흡이 있고 우측 폐야 crackles가 청진되며, CXR에서 해당 부위에 opacity가 확인된다. 혈액검사상 neutrophil-dominant leukocytosis도 확인되므로 환자의 임상상을 결부하여 판단할 때 세균성 폐렴이 강하게 의심되는 상황이다.

• 폐렴 치료는 적절한 항생제 투여와 더불어 저산소증 교정이 핵심이다. 환자는 SpO2 84%, PaO2 56mmHg으로 저산소증을 보이고 있으므로 Target SpO2 94~98% 수준으로 저산소증을 개선해야 한다.

• 따라서 코삽입관 산소 3L/분 투여하여 산소포화도를 교정한다.

오답 선지

• 농축적혈구 수혈: 급성 실혈 등으로 인한 빈혈이 존재할 때 시행할 수 있으나, 본 환자에서는 혈색소 수치가 10.1 g/dL로 수혈 기준에 해당하지 않아 적응증이 아니다.

• 기관내삽관후 기계호흡: 산소 치료로 비강 캐뉼라, 비재호흡 마스크, 비침습양압환기, 기관삽관 등을 사용할 수 있으나 기계환기는 자발호흡 불가 또는 의식 저하로 기도 유지가 어려운 경우에 시행한다. 본 환자는 의식이 명료하고 자발호흡이 가능하므로 해당되지 않는다.

• 노르에피네프린 정맥주사, 0.9% 식염수 급속 정맥주사: 본 증례의 폐렴이 septic shock으로 진행된 경우 충분한 수액 투여에도 불구하고 MAP < 65 mmHg일 때 혈관수축제(i.e. norepinephrine)를 투여하나, 본 환자는 혈압이 안정적이고 shock 소견이 없으므로 혈관수축제나 급속 수액 투여의 적응증이 아니다.

관련 이론

폐렴

Reference

• Harrison 21e, pp.1009-1020

ATS guideline, 2019

대한감염학회 가이드라인, 2017