만성폐쇄성폐질환

/

53

/

53

1번

[MD25]

0

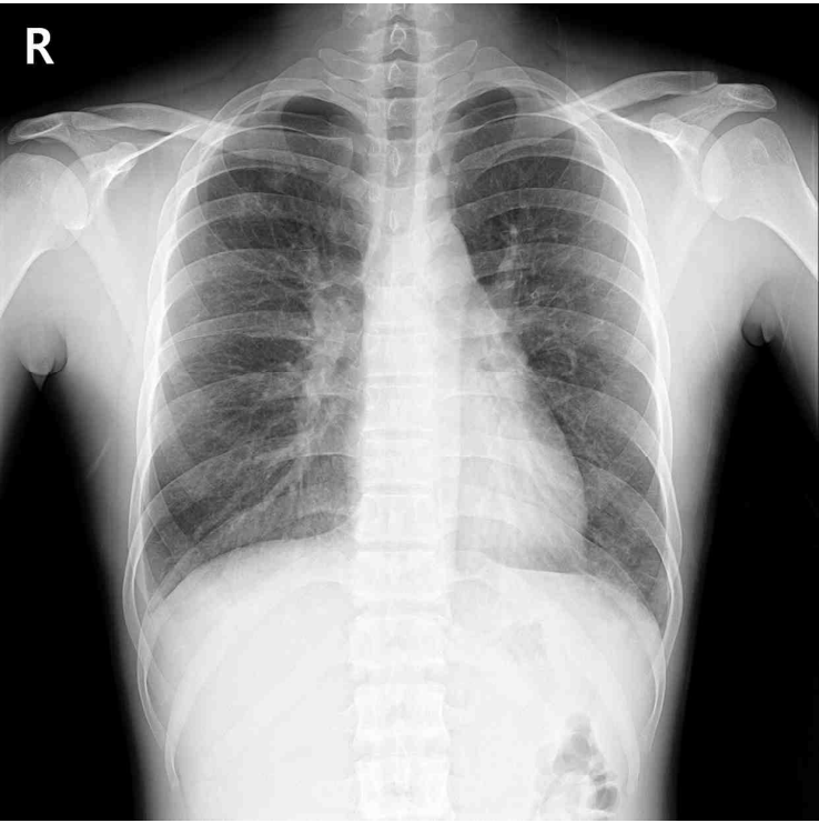
62세 남자가 4개월 전부터 기침과 가래가 있다며 병원에 왔다. 높은 언덕을 올라갈 때 숨이 찬다. 35갑•년의 흡연력이 있으며, 3년 전부터 금연하고 있다. 심음과 호흡음은 정상이다. 가슴 X선 사진이다. 기관지 확장제 투여 전후 폐기능검사 결과는 다음과 같다. 치료는?

강제폐활량(FVC): 정상 예측치의 93%

1초간 강제날숨량(FEV1): 정상 예측치의 82%

1초간 강제날숨량/강제폐활량 비: 68%

기관지확장제 흡입 후 1초간 강제날숨량: 정상 예측치의 85%

폐확산능: 78%

정답률 40%

누적 풀이 횟수 2,500+

평균 풀이 시간61초

/

나의 풀이 시간0

CC

M/62, 기침/가래(4m)

Hx

흡연: 35갑년

S/Sx

호흡곤란(mMRC grade 1)

Lab

Img

CXR: Lung hyperinflation

Etc

PFT: FEV1/FVC↓, DLCO

Imp: 만성폐쇄성폐질환(chronic obstructive pulmonary disease, COPD)

해설

급성 악화 병력이 없고 호흡곤란의 정도가 mMRC grade 1인 COPD 환자의 치료로 흡입 속효베타2작용제를 필요 시 사용한다.

• 62세 남자가 4개월 전부터 시작된 기침 및 가래로 내원하였다.

• 기침과 가래 외에도 mMRC grade 1 수준의 호흡곤란이 동반되었으며, 35갑년의 오랜 흡연력을 고려할 때 호흡기 질환을 원인으로 의심해야 한다.

• 신체 진찰에서 심음과 호흡음은 정상으로 확인되었다. 그러나 35갑년의 흡연력이 있는 점, 흉부 X선 검사에서 lung hyperinflation 소견이 확인되는 것을 감안하면 만성폐쇄성폐질환을 증상의 원인으로 고려할 필요가 있다.

• COPD 진단을 위해 시행한 PFTFEV1/FVC < 0.7로 폐쇄성 폐질환의 양상을 보이며, post-bronchodilator FEV1이 유의미하게 호전되지 않으므로 지속적 기류제한이 있음을 확인할 수 있으며, 감소한 DLCO 역시 COPD에 부합하는 소견이다. 따라서 환자는 만성적인 호흡기 증상과 지속적인 기류제한이 확인되어 만성폐쇄성폐질환으로 확진할 수 있다.

• 현재 급성 악화 병력이 없으며, 호흡곤란의 정도가 mMRC grade 1 수준으로 경미한 상태이므로 GOLD 가이드라인상 Group A에 해당하며, 초기 치료로 기관지확장제 사용이 적절하다.

• 기관지확장제는 종류와 관계없이 사용 가능하며, 해당 증례의 경우 SABA를 필요 시 사용하는 것으로 충분하다.

Tip

• GOLD 가이드라인에 따르면, A군 환자의 기관지확장제 선택은 호흡곤란 빈도에 따라 지속성 또는 속효성 제제 중 결정하도록 되어 있으며, 사용 빈도(필요 시 사용 또는 규칙적 사용)에 대한 별도의 명시는 없다. 매우 잦은 호흡곤란을 호소하는(very occasional breathlessness) 환자는 속효성 제제가 권고되며, 이외 일반적인 A군 환자의 경우 지속성 제제 사용이 권장된다.

• 속효성 제제의 지속시간은 약 6시간이며, 규칙적 사용과 필요 시 사용 모두 FEV₁ 및 증상 완화에 효과가 있다(근거 수준 A). 지속성 제제는 약물에 따라 12~24시간 지속되므로, 하루 1~2회 규칙적으로 흡입하는 방식으로 사용된다. Onset time이 3분 내로 빠른 속효성 제제와 달리, 지속성 제제는 peak bronchodilation까지 약 2시간이 소요되므로, 필요 시 사용하기에는 약동학적 특성상 부적절하다.

• 한편 대한결핵 및 호흡기학회 가이드라인에 따르면, (가)군 환자의 1차 치료제로 ‘필요 시 SABA 사용’이 명시되어 있다. 정리하면, 해당 증례에서 환자의 호흡곤란 빈도가 구체적으로 제시되지 않았으므로 속효성 및 지속성 제제 중 어떤 기관지확장제가 적절한지 단정하기는 어렵다. 그러나 SABA를 선택할 경우 대한결핵 및 호흡기학회 가이드라인에 따라 1차 치료로 필요 시 사용하는 것이 타당해 보이며, 나아가 국시 수준에서는 GOLD criteria Group A 치료에서 속효성 제제는 필요 시 사용으로 이해해도 무리가 없을 것으로 판단된다.

COPD 정리

위험요인

흡연, 환경적 오염 노출, 기관지확장증 병력

임상양상

호흡곤란, 기침, 가래, 천명음(쌕쌕거림)

CXR: Hyperinflated lungs, barrel chest

CT: Emphysematous changes

진단기준

PFT: 기관지확장제 투여 후 FEV1/FVC < 0.7

치료

1년간 급성악화 0~1회 & mMRC ≤ 1: 기관지확장제

1년간 급성악화 0~1회 & mMRC ≥ 2: LAMA + LABA

1년간 급성악화 입원 or ≥ 2회: LAMA + LABA

오답 선지

• 흡입 속효항머스카린제 규칙적 사용, 흡입 속효베타2작용제 규칙적 사용: 둘 다 사용 가능한 약제이나 필요 시 사용한다.

• 흡입 글루코코티코이드-지속베타2작용제 복합제 규칙적 사용: COPD의 치료에서 사용되지 않는다.

• 흡입 글루코코티코이드-지속베타2작용제-지속항머스카린제 복합제 규칙적 사용: 천식이 동반되거나 호산구증가증이 있을 경우 사용한다.

관련 이론

만성폐쇄성폐질환