13번
[MD19]
0
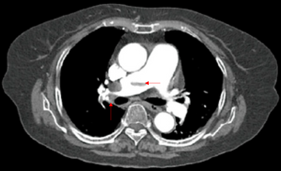
67세 여자가 1시간 전부터 숨이 차서 병원에 왔다. 4개월 전 양쪽 무릎관절대치술을 받은 후 주로 누워 지냈다고 한다. 혈압 78/54 mmHg, 맥박 122회/분, 호흡 24회/분, 체온 36.4℃이다. 목정맥이 늘어나 있고, 오른쪽 다리가 부어 있고 정강뼈 앞 오목부종은 없다. 가슴 컴퓨터단층 촬영 사진이다. 치료는?

정답률 87%
누적 풀이 횟수 800+
평균 풀이 시간25초
/
나의 풀이 시간0초
CC | F/67, 호흡곤란 (1hr) |
Hx | 4개월 전 무릎관절 수술 후 누워서 지냄 |
S/Sx | 호흡곤란 V/S 78/54 122 24 36.4, 목정맥 팽대, 오른쪽 다리 붓기 |
Lab | |
Img | Chest CT: 폐동맥 혈전 |
Etc |
Imp: 폐색전증(pulmonary thromboembolism, PTE)
해설
급성 호흡곤란, 장기간 bed rest의 과거력, CT상 혈전이 있으므로 PTE 진단 하, V/S unstable하고 항혈전치료 금기증이 없으므로 t-PA 등의 혈전용해치료를 시행한다.
• 67세 여자가 1시간 전부터 지속된 호흡곤란으로 내원하였다.
• 수술 후 누워서 지낸 과거력이 있으며, 단독으로 호흡곤란이 있고, 오른쪽 다리 붓기가 있으므로 깊은정맥혈전증(DVT)와 폐색전증의 가능성을 생각해볼 수 있다.
• CT에서 폐동맥 혈전이 보이므로 폐색전증으로 진단할 수 있다.
• 혈압이 78/54로 낮고 혈전용해치료의 금기증에 해당하지 않기 때문에 항응고치료+혈전용해치료를 진행한다. 보기 중에서는 혈전용해제인 조직플라스미노겐활성제를 고른다.
Tip
• 목정맥 팽대 소견은 우심실 부전을 시사하는 소견으로, 환자의 폐색전증이 중증임을 시사한다.
• 폐색전증 진단 및 치료
관련 이론
• 폐색전증
Reference
• Harrison 21e, pp.2091-2101