9번
[MD21]
0
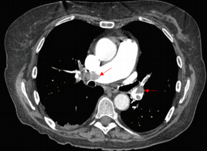
78세 남자가 2일 전부터 숨이 찬다며 응급실에 왔다. 1주 전 오른쪽 넙다리뼈 골절 수술을 받은 후 누워 지냈다고 한다. 혈압 80/56 mmHg, 맥박 110회/분, 호흡 20회/분, 체온 36.6°C이다. 가슴 청진에서 심음은 빠르고 복장뼈 왼쪽 옆 네 번째 갈비사이 공간에서 3/6도의 수축기 잡음이 들린다. 호흡음은 정상이다. 오른쪽 종아리가 부어 있다. 가슴 컴퓨터단층촬영사진이다. 적합한 치료를 고르시오 (두 가지).

정답률 80%
누적 풀이 횟수 900+
평균 풀이 시간45초
/
나의 풀이 시간0초
CC | M/78, 호흡곤란 (2d) |
Hx | 1주 전 골절 수술 후 누워서 지냄 |
S/Sx | 호흡곤란 V/S 80/56 110 20 36.6 빠른 심음. 복장뼈 왼쪽옆 4th ICS 3/6도 수축기 잡음. 오른쪽 종아리 붓기 |
Lab | |
Img | CT: 양측 폐동맥 혈전 |
Etc |
Imp: 폐색전증(pulmonary thromboembolism, PTE)
해설
급성 호흡곤란, 장기간 bed rest의 과거력, CT상 혈전이 있으므로 PTE 진단 하, V/S unstable하므로 혈전용해제인 t-PA와 항응고제인 헤파린을 투여한다.
• 78세 남자가 2일 전부터 지속된 호흡곤란으로 내원하였다.
• 골절 수술 후 누워서 지낸 과거력(hypercoagulable state)이 있으며, 단독으로 호흡곤란이 있고, 오른쪽 종아리 붓기가 있으므로 깊은정맥혈전증(DVT)와 폐색전증의 가능성을 생각해볼 수 있다. 흉골 좌연 4th ICS의 수축기 심잡음은 PTE에 의해 발생한 tricuspid regurgitation으로 볼 수 있다.
• CT에서 폐동맥 혈전이 보이므로 폐색전증으로 진단할 수 있다.
• 혈압이 80/56으로 낮으므로 항응고치료+혈전용해치료를 진행한다. 보기 중에서는 항응고제인 헤파린과 혈전용해제인 조직플라스미노겐활성제를 모두 고른다.
Tip
• 폐색전증 진단 및 치료
관련 이론
• 폐색전증
Reference
• Harrison 21e, pp.2091-2101