흉막과 종격동 질환

/

83

/

83

2번

[MD25]

0

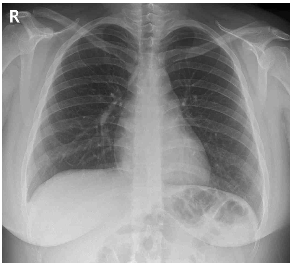
20세 여자가 1시간 전부터 왼쪽 가슴이 아프다며 병원에 왔다. 가슴통증은 숨을 깊이 들이쉴 때 더 심하다. 기침과 가래는 없다. 비흡연자이다. 혈압 120/70 mmHg, 맥박 78회/분, 호흡 20회/분, 체온 36.8℃이다. 왼쪽 가슴에서 촉각진동감과 호흡음이 감소되어 있다. 가슴 X선사진과 심전도이다. 진단은?

정답률 60%

누적 풀이 횟수 2,600+

평균 풀이 시간62초

/

나의 풀이 시간0

CC

F/20, 왼쪽 가슴 통증(1h)

Hx

비흡연자

S/Sx

흡기 시 통증 심화

촉각진동감 감소(Lt.), 호흡음 감소(Lt.)

V/S 120/70 78 20 36.8

Lab

Img

CXR: No remarkable findings

Etc

ECG: No remarkable findings

Imp: R/O 기흉(pneumothorax, 공기가슴증)

해설

급성으로 발생한 좌측 가슴통증에 대해 보기 중 기흉이 가장 적절한 정답이다.

• 20세 여자가 1시간 전부터 시작된 좌측 가슴통증을 주호소로 내원하였다.

• 가슴통증은 숨을 들이쉴 때 악화되는 pleuritic pain의 양상으로 흉막 삼출, 기흉, 폐색전증 등의 질환을 고려하여야 한다.

• 신체 진찰상 왼쪽 가슴의 촉각진동감 및 호흡음이 감소되어 있으므로 해당 부위에 발생한 기흉, 흉막 삼출, 무기폐를 의심해야 한다. 현재 CXR상 양측 CPA blunting이 저명하지 않으므로 흉막 삼출로 인한 통증은 배제할 수 있다.

• 보기에 주어진 질환들 중 기흉이 가장 의심되지만, CXR에서 pleural line과 distal pulmonary vascular marking의 소실이 저명하게 확인되지는 않는다. 기흉이 CXR에서 보이지 않을 정도로 작거나, 문제에서 주어진 사진의 화질이 좋지 않은 것으로 추정된다.

오답 선지

• 공황장애: 흉통을 일으킬 수 있는 다른 원인이 배제되는 경우 공황장애와 같은 심리적인 원인을 고려해야 하나, 해당 환자의 경우 신체진찰상 호흡기 원인을 시사하는 근거가 명확히 있으므로 부적절한 진단명이다.

• 심장막염: 주로 감염의 과거력이 있는 환자에서 흉통이 pericardial, pleuritic pain의 양상으로 발생하나 ECG상 diffuse ST segment elevation이 관찰되므로 normal ECG를 보이는 위 증례에서는 배제할 수 있다.

• 폐색전증: 혈전 생성의 위험인자가 있는 환자들에서 급성 병색으로 흉막성 흉통이 발생하나, 폐색전증에서 발생하는 흉막성 통증의 원인은 흉막 삼출에 기인하는 경우가 많으며 해당 환자에서 혈전 생성의 위험인자들이 제시되지 않았으므로 배제할 수 있다.

• 가슴막삼출: CXR상 CPA blunting이 관찰되지 않으므로 배제할 수 있다.

관련 이론

기흉

Reference

Harrison 21e, p.2200

• Murray & Nadel 7e, pp.1539-1550