23번
[MD20]
0
76세 남자가 1주 전부터 숨이 차고 가슴이 아파서 병원에 왔다. 3개월 전부터 기침, 누런 가래가 있었다. 1개월 동안 체중이 5kg 줄었고 기운이 없다고 한다. 30갑·년 과거 흡연자이다. 혈압 120/84mmHg, 맥박 98회/분, 호흡 20회/분, 체온 36.3℃이다. 오른쪽 아래 가슴에서 호흡음이 잘 들리지 않는다. 가슴 X선 사진이다. 혈액검사 결과는 다음과 같다. 진단은?
혈색소 13.4 g/dL, 백혈구 12,850/mm3 (중성구 89%, 림프구 3%), 혈소판 211,000/mm3

정답률 68%
누적 풀이 횟수 1,100+
평균 풀이 시간38초
/
나의 풀이 시간0초
CC | M/76, 흉통, 호흡곤란 (1wk) |
Hx | 과거 흡연력(30PY) |
S/Sx | 기침, 누런 가래(3mo), 1개월 동안 5kg 체중감소, 피로감 오른쪽 아래 가슴 호흡음 감소 |
Lab | WBC ↑ |
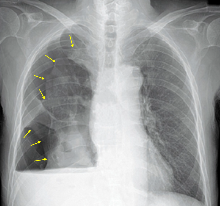
Img | CXR: 우측 폐 pleural line, air-fluid level |
Etc |
Imp: 기흉(pneumothorax) & 흉막 삼출(pleural effusion)
해설
• 76세 남자가 1주 간 지속된 흉통, 호흡곤란으로 내원하였다.
• CXR에서 우측 폐에 pleural line이 보이며, air-fluid level이 보이므로 기흉과 흉막 삼출이 동시에 있음을 알 수 있다.
• 흉통과 호흡곤란은 기흉에 의한 것이라고 생각할 수 있다.
• 한편, 고령, 흡연력, 급격한 체중 감소에서 폐암이 의심되는데, 폐암으로 인한 이차성 기흉과 암성 흉수가 생긴 것으로 추측해볼 수 있다.
오답 선지
• 폐암: 본 증례의 경우 임상적으로 폐암이 의심되기는 하지만, TB, chronic pulmonary infection 등 기타 원인에 의해 hydropneumothorax가 발생했을 수도 있으므로 가장 적절한 정답이라고 보기는 어렵다.
관련 이론
• 기흉
• 흉막 삼출
Reference
• Harrison 21e, pp.2197-2201