27번
[MD19]
0
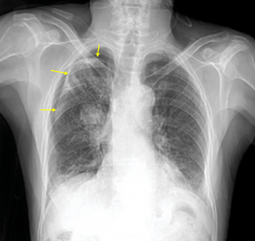
75세 남자가 2일 전부터 오른쪽 가슴이 아프다며 병원에 왔다. 평소 기침과 가래가 있었고 빨리 걸으면 숨이 찼다. 20년 전부터 만성폐질환으로 흡입제를 사용해 오고 있다. 50갑·년의 흡연자이다. 혈압 140/90mmHg, 맥박 88회/분, 호흡 22회/분, 체온 36.3℃이다. 가슴 진찰에서 오른쪽 부위에 촉각진동감과 호흡음이 감소되어 있다. 가슴 X선 사진이다. 조치는?

정답률 67%
누적 풀이 횟수 1,000+
평균 풀이 시간47초
/
나의 풀이 시간0초
CC | M/75, 흉통 (2d) |
Hx | 20년 전부터 COPD 치료중, 흡연력(50PY) |
S/Sx | 평소 기침, 가래, 운동시 호흡곤란, 2일 전부터 우측 흉통 오른쪽 가슴 호흡음, 촉각진동 감소 |
Lab | |
Img | CXR: 우측 폐 pleural line |
Etc |
Imp: 이차성 자발성 기흉(secondary spontaneous pneumothorax, SSP)
해설
COPD에 의해 발생한 2차성 기흉으로 추정되므로 가슴관 삽입을 시행한다.
• 62세 남자가 2일 전부터 지속된 흉통과 호흡곤란으로 내원하였다.
• 급성 우측 흉통과 호흡곤란 증세, 그리고 오른쪽 가슴의 호흡음 감소로 보아 기흉이 의심된다.
• CXR에서 우측 폐에 pleural line이 보이며 distal vascular marking이 소실되었으므로 기흉으로 진단할 수 있다.
• COPD 병력이 있으므로 이차성 기흉으로 생각할 수 있고, 따라서 치료로 흉관 삽입을 시행한다.
Tip
기흉 정리 | |
위험요인 | • 일차성: 흡연, 남성 • 이차성: COPD • 의인성: 바늘생검, 흉막천자, 기계환기 • 외상 |
임상양상 | • 급성 흉통, 호흡곤란 • 호흡음 감소, 타진 시 과공명 |
검사소견 | • CXR: Pleural line 보임, vascular marking이 보이지 않음 |
일차성/의인성 기흉 치료 | • 안정 + 첫 기흉 + 증상 경함: 경과관찰 (+ O2) • 재발성 or 불안정: 흉관 삽입 |
이차성/외상성 기흉 치료 | • 흉관 삽입 |
긴장성 기흉 | • V/S unstable • CXR: Mediastinal shift • 즉각적인 바늘 감압 → 이후 흉관 삽입 |
관련 이론
• 기흉
Reference
• Harrison 21e, p.2200
• Murray & Nadel 7e, pp.1539-1550