6번
[MD24]
0
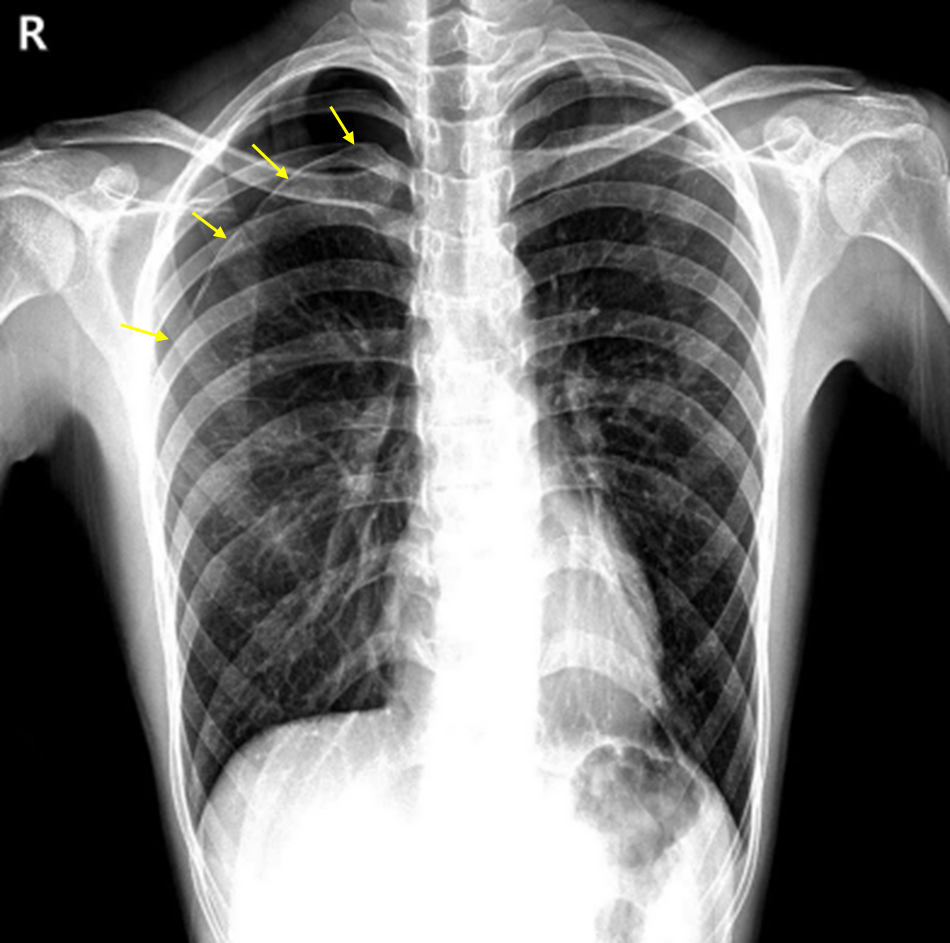
19세 남자가 2시간 전부터 갑자기 오른쪽 가슴이 아파서 병원에 왔다. 숨을 들이마실 때 통증이 더 심하다고 한다. 특별한 과거력은 없으며, 키 185 cm, 체중 55 kg이다. 혈압 120/80 mmHg, 맥박 90회/분, 호흡 24회/분, 체온 36.7℃이다. 가슴청진에서 오른쪽 폐에서 호흡음이 감소되어 들린다. 혈액 검사 결과는 다음과 같다. 가슴 X선사진이다. 진단은?
혈색소 13.3 g/dL, 백혈구 8,400/mm3 , 혈소판 250,000/mm3

정답률 98%
누적 풀이 횟수 2,300+
평균 풀이 시간22초
/
나의 풀이 시간0초
CC | M/19, 흉통(2h, Rt.) |
Hx | |
S/Sx | 들숨 시 악화 V/S 120/80 90 24 36.7, 185cm/55kg, Rt. LS decreased |
Lab | |
Img | CXR: Rt. pneumothorax |
Etc |
Imp: 일차성 자발성 기흉(primary spontaneous pneumothorax, PSP)
해설
CXR상 visceral pleural line 및 distal pulmonary vascular marking의 소실이 확인되므로 기흉으로 진단한다.
• 19세 남자가 2시간 전 시작된 우측 흉통을 주호소로 내원했다.
• 들숨 시 악화되는 양상으로, pleuritic chest pain 양상으로 보인다. 우측 폐 호흡음이 감소되었고, 갑자기 증상이 발생했고, 키가 크고 마른 체중이므로 기흉을 우선 의심해볼 수 있다.
• Lab상 특이사항은 확인되지 않으며, CXR상 visceral pleural line 및 distal pulmonary vascular marking의 소실이 확인된다. 이는 기흉에 합당한 영상소견이다. 나이가 젊고 특이 병력이 없으므로 PSP일 가능성이 높다.
Tip
기흉 정리 | |
위험요인 | • 일차성: 흡연, 남성 • 이차성: COPD • 의인성: 바늘생검, 흉막천자, 기계환기 • 외상 |
임상양상 | • 급성 흉통, 호흡곤란 • 호흡음 감소, 타진 시 과공명 |
검사소견 | • CXR: Pleural line 보임, vascular marking이 보이지 않음 |
일차성/의인성 기흉 치료 | • 안정 + 첫 기흉 + 증상 경함: 경과관찰 (+ O2) • 재발성 or 불안정: 흉관 삽입 |
이차성/외상성 기흉 치료 | • 흉관 삽입 |
긴장성 기흉 | • V/S unstable • CXR: Mediastinal shift • 즉각적인 바늘 감압 → 이후 흉관 삽입 |
오답 선지
• 폐렴(pneumonia): 발열, 기침/가래 등 증상이 있으며, leukocytosis가 흔히 동반되고, CXR상 consolidation/GGO가 확인되는 경우가 많다.
• 무기폐(atelectasis): CXR상 lung parenchyma가 collapse되어 경계가 명확한 고음영이 확인된다.
• 세로칸염(mediastinitis): 발열, 중심성 흉통이 동반되는 경우가 많고, CXR상 진단하기 다소 어렵다.
• 가슴막삼출(pleural effusion): Erect CXR의 경우 air-fluid level이 명확히 확인되거나 costophrenic angle blunting이 확인된다.
관련 이론
• 기흉
Reference
• Harrison 21e, p.2200
• Murray & Nadel 7e, pp.1539-1550