63번
[임종평22-1]
0
21세 남자가 30분 전 헬스장에서 운동을 하다가 가슴이 아프고 숨쉬기가 어렵다고 응급실에 왔다. 하루에 담배를 1갑이상 피운다고 한다. 혈압 80/50 mmHg, 맥박 120회/분, 호흡 20회/분, 체온 36.8℃이다. 키가 크고 마른 체형이다. 경정맥은 확장되어 있으며, 가슴청진에서 오른쪽 호흡음이 감소되어 있다. 가슴 X선사진이다. 혈압을 높이기 위한 치료는?

정답률 94%
누적 풀이 횟수 1,200+
평균 풀이 시간20초
/
나의 풀이 시간0초
CC | M/21, 흉통/호흡곤란(30min) |
Hx | 흡연: 하루 1갑 |
S/Sx | 흉통: 헬스장에서 운동을 하다가 발생 V/S 80/50 120 20 36.8, 키가 크고 마른 체형, 경정맥 확장, 우측 호흡음 감소 |
Lab | |
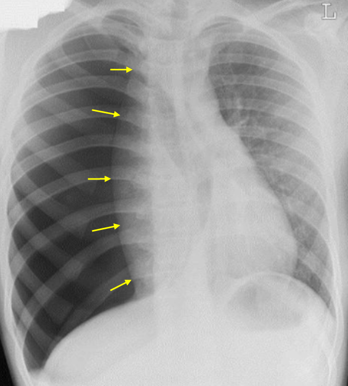
Img | CXR: Rt. pneumothorax, mediastinal shift and tracheal deviation to Lt. |
Etc |
Imp: 긴장성 기흉(tension pneumothorax)
해설
증상, V/S, CXR상 긴장성 기흉 진단 하, 흉관 삽입을 시행한다.
• 21세 남자가 30분 전 시작된 흉통 및 호흡곤란을 주호소로 내원했다.
• 환자가 젊은 남자이고 키가 크고 마른 체형인 것을 감안하면, 급성 흉통 및 호흡곤란은 기흉에 의한 것일 가능성이 높다. 우측 호흡음이 감소한 것도 기흉을 시사한다.
• 흡연은 기흉의 위험요인 중 하나고, 헬스장에서 운동을 하다 증상이 발생했으므로 갑작스러운 Valsalva maneuver 등에 의해 기흉이 발생했음을 추정할 수 있다.
• 현재 V/S이 불안정하며 경정맥 확장까지 동반되므로 긴장성 기흉으로 이행되었음을 추정할 수 있다. 실제로 CXR 상에서도 우측 폐야에 pulmonary vascular marking이 하나도 보이지 않으므로 기흉을 진단할 수 있고, mediastinum과 trachea가 왼쪽으로 shifting 되어 있으므로 긴장성 기흉을 진단할 수 있다.
• 긴장성 기흉에 대한 응급치료는 large-bore needle을 통한 응급 감압이지만, 근본적인 치료는 흉관 삽입을 통한 공기 제거 및 감압이다. 긴장성 기흉의 저혈압 기전은 흉강 내 고압으로 인한 venous return의 감소이므로, 흉관 삽입과 감압은 venous return을 정상적으로 회복시켜 혈압을 원상복귀시킬 수 있을 것이다.
Tip
기흉 정리 | |
위험요인 | • 일차성: 흡연, 남성 • 이차성: COPD • 의인성: 바늘생검, 흉막천자, 기계환기 • 외상 |
임상양상 | • 급성 흉통, 호흡곤란 • 호흡음 감소, 타진 시 과공명 |
검사소견 | • CXR: Pleural line 보임, vascular marking이 보이지 않음 |
일차성/의인성 기흉 치료 | • 안정 + 첫 기흉 + 증상 경함: 경과관찰 (+ O2) • 재발성 or 불안정: 흉관 삽입 |
이차성/외상성 기흉 치료 | • 흉관 삽입 |
긴장성 기흉 | • V/S unstable • CXR: Mediastinal shift • 즉각적인 바늘 감압 → 이후 흉관 삽입 |
오답 선지
• 승압제 투여: 본 증례는 심장 자체의 contractility가 감소해 저혈압이 발생한 것이 아니므로 부적절하다.
• 고농도 산소 주입: High O2 therapy는 기흉의 양이 크지 않을 때 고농도 산소투여를 통해 기흉이 저절로 흡수되기를 기대하는 치료법이다. 본 증례와 같은 긴장성 기흉에서는 부적절하다.
• 응급 심낭천자술(pericardiocentesis): Cardiac tamponade에 대한 치료다. Cardiac tamponade도 본 증례와 같이 unstable V/S와 경정맥 확장이 나타날 수 있으나, 본 증례는 CXR상 명백히 기흉이므로 pericardiocentesis는 부적절하다.
• 폐구역절제술(lung segmentectomy): 재발성 기흉 등에서 원인이 되는 bullae를 제거할 때 segmentectomy를 시행할 수 있겠으나, 본 증례는 재발성이라는 단서가 주어지지 않았으며, 흉관 삽입이 더 빠르고 덜 invasive하게 혈압을 회복시킬 수 있다.
관련 이론
• 기흉
Reference
• Harrison 21e, p.2200
• Murray & Nadel 7e, pp.1539-1550