75번
[임종평19-2]
0
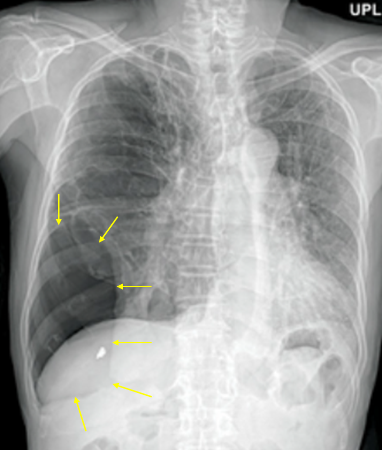
73세 남자가 1일 전부터 가슴이 아프고 숨이 찬다며 병원에 왔다. 50갑·년의 흡연자로 10년 전부터 만성폐쇄폐질환으로 흡입제를 사용 중이라고 한다. 혈압 140/90mmHg, 맥박 110회/분, 호흡 23회/분, 체온 37℃이다. 오른쪽 아랫가슴에서 호흡음은 감소되고 타진에서 가스팽만음이 들린다. 가슴 X선 사진이다. 진단은?

정답률 73%
누적 풀이 횟수 800+
평균 풀이 시간33초
/
나의 풀이 시간0초
CC | M/73, 흉통, 호흡곤란 (1d) |
Hx | 흡연력(50PY), 10년 전부터 COPD 치료중 |
S/Sx | 흉통, 호흡곤란 V/S 140/90 110 23 37, 왼쪽 아랫가슴 호흡음 감소, 타진 가스팽만음 |
Lab | |
Img | CXR: 우측 폐 하부 pleural line |
Etc |
Imp: 이차성 기흉(secondary spontaneous pneumothorax)
해설
• 73세 남자가 1일 전부터 지속된 흉통과 호흡곤란으로 내원하였다.
• 급성 좌측 흉통과 호흡곤란 증세, 그리고 왼쪽 아랫가슴의 호흡음 감소로 보아 기흉이 의심된다.
• CXR에서 우측 폐에 pleural line과 distal vascular marking의 소실이 보이므로 기흉으로 진단할 수 있다.
• 한편 COPD 병력이 있으므로 이차성 기흉으로 생각할 수 있다. 이차성 기흉은 특히 본 환자처럼 localized된 양상을 보이는 경우가 많다.
Tip
• COPD 환자의 경우 큰 공기집(bullae)이 기흉으로 오인되는 사례도 많지만, 본 환자는 급성 흉통, 호흡곤란 등 기흉에 합당한 임상양상을 호소하고 있으므로 기흉으로 보는 것이 더 적절하다. 정확한 감별을 위해서는 CT가 필요하다.
기흉 정리 | |
위험요인 | • 일차성: 흡연, 남성 • 이차성: COPD • 의인성: 바늘생검, 흉막천자, 기계환기 • 외상 |
임상양상 | • 급성 흉통, 호흡곤란 • 호흡음 감소, 타진 시 과공명 |
검사소견 | • CXR: Pleural line 보임, vascular marking이 보이지 않음 |
일차성/의인성 기흉 치료 | • 안정 + 첫 기흉 + 증상 경함: 경과관찰 (+ O2) • 재발성 or 불안정: 흉관 삽입 |
이차성/외상성 기흉 치료 | • 흉관 삽입 |
긴장성 기흉 | • V/S unstable • CXR: Mediastinal shift • 즉각적인 바늘 감압 → 이후 흉관 삽입 |
관련 이론
• 기흉
Reference
• Harrison 21e, p.2200
• Murray & Nadel 7e, pp.1539-1550