83번
[임종평19-1]
0
34세 남자가 1시간 전부터 왼쪽 가슴이 아프다며 병원에 왔다. 3년 전부터 흡연을 해왔다고 한다. 혈압 80/50mmHg, 맥박 120회/분, 호흡 35회/분, 체온 37℃, 산소포화도 95%이다. 왼쪽 가슴에서 호흡음이 감소되고 타진에서 가스팽만음이 들린다. 가슴 X선 사진이다. 혈압을 올리기 위한 조치는?

정답률 94%
누적 풀이 횟수 800+
평균 풀이 시간19초
/
나의 풀이 시간0초
CC | M/34, 흉통 (1hr) |
Hx | 흡연력(3PY) |
S/Sx | 좌측 흉통 V/S 80/50 120 35 37, 왼쪽 가슴 호흡음 사라짐. 타진 가스팽만음 |
Lab | SaO2 95% |
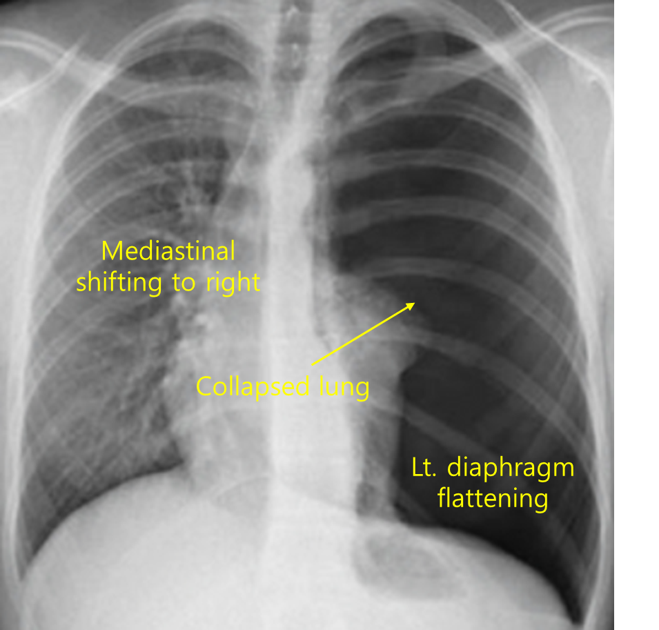
Img | CXR: 좌측 폐 bronchovascular marking 사라짐, 심장 및 기도 우측 이동 |
Etc |
Imp: 긴장성 기흉(tension pneumothorax)
해설
V/S이 unstable하고 large mediastinal shift가 관찰되므로 긴장성 기흉 진단 하, 굵은 바늘 삽입을 시행한다.
• 34세 남자가 1시간 전부터 지속된 흉통으로 내원하였다.
• 급성 흉통의 증상, 그리고 신체 검진에서 왼쪽 가슴 호흡음이 사라진 것으로 보아 무기폐 혹은 기흉이 의심된다.
• CXR에서 좌측 폐의 폐혈관 음영이 완전히 사라졌고, 심장과 기도가 우측으로 이동한 소견이 보이며, 저혈압이 저명하므로 긴장성 기흉이 의심된다.
• 긴장성 기흉에서 우선되는 처치는 흉막 천자를 통한 감압이다.
Tip
기흉 정리 | |
위험요인 | • 일차성: 흡연, 남성 • 이차성: COPD • 의인성: 바늘생검, 흉막천자, 기계환기 • 외상 |
임상양상 | • 급성 흉통, 호흡곤란 • 호흡음 감소, 타진 시 과공명 |
검사소견 | • CXR: Pleural line 보임, vascular marking이 보이지 않음 |
일차성/의인성 기흉 치료 | • 안정 + 첫 기흉 + 증상 경함: 경과관찰 (+ O2) • 재발성 or 불안정: 흉관 삽입 |
이차성/외상성 기흉 치료 | • 흉관 삽입 |
긴장성 기흉 | • V/S unstable • CXR: Mediastinal shift • 즉각적인 바늘 감압 → 이후 흉관 삽입 |
관련 이론
• 기흉
Reference
• Harrison 21e, p.2200
• Murray & Nadel 7e, pp.1539-1550