두통

/

91

/

91

72번

[MD25]

0

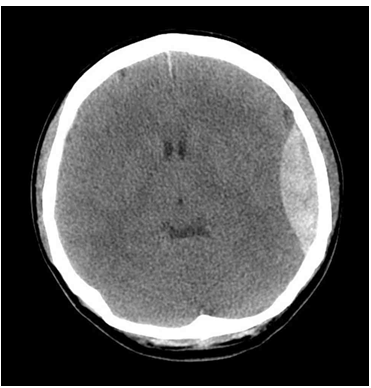
30세 여자가 3시간 전에 계단에서 미끄러져 벽에 머리를 부딪힌 후 머리가 아파서 응급실에 왔다. 혈압 130/95 mmHg, 맥박 83회/분, 호흡 18회/분, 체온 36.7℃이다. 의식은 기면상태(drowsiness)이고 왼쪽 두피가 부어있다. 사지마비는 없다. 혈액검사 결과는 다음과 같다. 뇌 컴퓨터단층촬영사진이다. 치료는?

혈색소 10.7 g/dL, 백혈구 11,500/mm3, 혈소판 340,000/mm3

정답률 89%

누적 풀이 횟수 1,700+

평균 풀이 시간18초

/

나의 풀이 시간0

CC

F/30, 두통(3h)

Hx

3시간 전: 두부 외상

S/Sx

V/S 130/95 83 18 36.7, M/S drowsy, Lt. scalp swelling

Lab

Hb↓, WBC↑

Img

CT: Epidural hemorrhage

Etc

Imp: 경막외혈종(epidural hematoma, EDH)

해설

두부 외상 후 CT상 볼록렌즈 모양의 고음영 덩이가 보이기 때문에 EDH로 진단하고 치료를 위해 머리뼈절개술(craniotomy)을 시행한다.

• 30세 여자가 3시간두부 외상 후 두통으로 응급실에 내원하였다.

• 두부 외상을 평가하기 위해 즉각적으로 Brain CT를 촬영하였고 Brain CT 상 볼록렌즈 모양의 고음영 덩이가 보이기 때문에 EDH로 진단한다.

• 의식은 기면 상태(drowsiness)로 저하되었으며 지속적인 두통을 호소하므로 두개내압이 증가를 의심할 수 있으며 Brain CT상 EDH의 크기가 크므로 수술적 치료를 시행한다.

• EDH의 수술적 치료는 머리뼈절개술(craniotomy)이다.

Tip

• EDH의 수술 적응증

국소적인 신경학적 징후 및 증상

급성 EDH로 인한 의식저하(GCS <9)

큰 혈종 부피(부피 > 30mL, 혈종 두께 > 15mm, midline shift > 5mm)

두개내압 상승이나 신경학적 악화를 유발하는 혈종 크기 증가

오답 선지

• 혈전용해: 허혈성 뇌졸중이 발병한 지 4.5시간 미만일 때 시행하는 치료법으로 EDH의 치료법은 아니다.

• 동맥류묶음, 혈관내코일색전술: Cerebral aneurysm이 있을 때 뇌출혈을 예방하거나 cerebral aneurysm의 rupture로 subarachnoid hemorrhage가 발생했을 때 치료법으로 EDH의 치료법은 아니다.

• 뇌실복막강션트: 뇌수두증의 치료법으로 EDH의 치료법은 아니다.

관련 이론

외상성 뇌손상

Reference

Bradley and Daroff 8e, pp.914-928